BS Vũ Thiên Ân
I/ Dịch tễ - Xuất độ
Viêm phổi hít phân su (VPHPS) là một bệnh lý thường gặp ở trẻ sơ sinh. Ước lượng khoảng 13% trường hợp sinh sống trên thế giới có hiện tượng phân su gặp trong nước ối khi sinh. Trong số này có 5% trẻ bị VPHPS. Diễn tiến viêm phổi có thể rất nặng nề: 30% trẻ bị VPHPS cần thở máy (2).
VPHPS thường gặp ở trẻ già tháng hoặc ở trẻ đủ tháng có bất thường khi sinh làm thời gian sinh kéo dài như: bất thường dây rốn (dây rốn quấn cổ, dây rốn ngắn, sa dây rốn...), sinh khó cơ học, ngôi thai bất thường …Về mặt lý thuyết, tình trạng suy thai và thiếu oxy mô sẽ gây ra sự tống xuất của phân su vào nước ối do kích thích hệ phó giao cảm.
Thống kê tại Hoa Kỳ nơi hầu hết trẻ VPHPS được hồi sức tích cực ngay sau sinh, mỗi năm có 25.000 – 30.000 ca VPHPS, trong đó có khoảng 1.000 ca tử vong.
II/ Hậu quả và tác hại của viêm phổi hít phân su
Khi trẻ hít phân su, phân su sẽ xâm nhập vào các nhánh khí phế quản từ trung tâm ra ngoại vi gây ra:
- Vùng xẹp phổi xen kẽ với vùng ứ khí phế nang, hiệu ứng ”van bi” (ball valve effect)
- Phân su có thể gây viêm phổi hóa học.
- Trong thành phần của phân su có cholesteral, acid béo, bilirubin. Các chất này làm thay đổi hình dạng bề mặt của surfactant. Ngoài ra, khi đã viêm phổi, các protein và cytokines của phản ứng viêm cũng phá hủy tác dụng của surfactant. Như vậy, trẻ bị VPHPS sẽ thiếu surfactant thứ phát.
- Viêm phổi do hít ối phân su làm tăng áp lực động mạch phổi, tăng shunt Phải-Trái qua lỗ bầu dục, ống động mạch. Những chất hoạt mạch trong phân su có thể gây co mạch phổi làm tăng kháng lực phổi có thể gây cao áp phổi.

III/ Lâm sàng – Cận lâm sàng
- Khi mới sinh, người trẻ đầy phân su. Trong miệng nhiều nước ối lẫn phân su. Hút dịch dạ dày thấy lẫn phân su. Trong những trường hợp suy hô hấp phải đặt nội khí quản, hút nội khí quản ra dịch ối lẫn phân su.
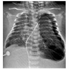
- Về mặt lâm sàng, trẻ VPHPS có biểu hiện của hội chứng suy hô hấp nhiều mức độ, có thể rất nặng. Phổi có ran ẩm to hạt, đôi lúc không nghe tiếng thở ở một bên phổi do tắc nghẽn. Nếu có biến chứng tràn khí màng phổi, ngoài những triệu chứng của tràn khí, tim có thể bị đẩy về phía đối diện trên lâm sàng và X quang.
- X-quang:
- Nhu mô phổi thông khí không đều, có hạt đậm bờ không rõ, tập trung nhiều ở rốn phổi. Các vùng xẹp phổi và khí thủng rải rác không đều ở hai phổi.
- Có thể có tràn khí lồng ngực, ứ khí ở phổi với biểu hiện vòm hoành bị đẩy dẹt xuống.
![]() |
![]() |
|
Hình ảnh phân su trong cây khí - phế quản - phế nang |
Biến chứng tràn khí màng phổi trong VPHPS |
III/ Các biện pháp điều trị viêm phôi hít phân su
- Trong phòng sanh, nếu phát hiện nước ối có phân su, cần lập tức hút sạch dịch ối lẫn phân su ở hầu họng ngay sau sanh. Sau khi thai sổ hoàn toàn, nếu có suy hô hấp cần đánh giá đặt nội khí quản ngay và hút dịch ối lẫn phân su trực tiếp qua nội khí quản, cho trẻ thở Oxy qua nội khí quản và chuyển hồi sức sơ sinh.
- Do phân su cũng có thể làm giảm chức năng của surfactant, cũng có thể áp dụng liệu pháp thay thế surfactant, nếu cần thiết.
- Điều trị nhiễm trùng huyết, viêm phổi, toan chuyển hóa, toan huyết kết hợp nếu có. Điều trị sự tồn tại của tuần hoàn bào thai (còn ống động mạch, còn lỗ bầu dục) bằng những phương pháp đặc hiệu nếu có.
IV/ Surfactant trong điều trị viêm phổi hít phân su
Như đã trình bày, vì phân su có các thành phần làm giảm hoặc bất hoạt chức năng của surfactant, do đó có thể áp dụng liệu pháp thay thế surfactant. Trên thế giới đã thực hiện nhiều công trình nghiên cứu thực nghiệm có nhóm chứng có giá trị về vấn đề này. Hiện tại, trong một vài năm gần đây tại Việt Nam cũng áp dụng biện pháp bơm surfactant trong VPHPS.
Surfactant có vai trò làm giảm sức căng bề mặt phổi nên ngăn ngừa xẹp phế nang cuối thì thở ra, ngăn ngừa vỡ phế nang khi thở máy, có tác dụng như một hàng rào ngăn chặn sự xuất tiết protein. Ngoài ra, surfactant giúp bảo vệ phổi vì nó opsonin hóa vi khuẩn sẵn sàng cho đại thực bào phế nang mang đi. Surfactant cũng có hoạt tính chống oxy hóa cao nên có tác dụng kháng viêm
Thông thường, liều surfactant trong VPHPS từ 100 – 120mg/kg tùy loại surfactant sử dụng.
Theo nghiên cứu trên thế giới, nhóm trẻ VPHPS có bơm surfactant có thời gian nằm viện, ICU, tỷ lệ phải sử dụng biện pháp lọc Oxy ngoài cơ thể ECMO (Extracorporeal membrane oxygenation) thấp hơn nhóm không bơm surfactant có ý nghĩa thống kê. Tuy nhiên, chưa ghi nhận sự khác biệt về tỷ lệ tử vong giữa 2 nhóm VPHPS có và không có sử dụng surfactant.
- Một nghiên cứu phân tích tổng hợp meta năm 2007 dựa trên phân tích kết quả từ 4 nghiên cứu thực nghiệm mù đôi có nhóm chứng về hiệu quả của surfactant trong VPHPS cho kết quả được trình bày trong bảng sau (4):
|
|
Số nghiên cứu phân tích |
N |
RR |
95% CI |
Risk diffetrent |
|
Tử vong |
4 |
326 |
0.98 |
0.41 - 2.39 |
0.00 |
|
ECMO |
2 |
208 |
0.64 |
0.46 – 0.91 |
- 0.17 |
|
Thời gian thở máy |
3 |
158 |
0.60 ngày |
0.41 - 1.62 |
|
|
TKMP |
3 |
269 |
0.82 |
0.39 - 1.73 |
-0.02 |
|
Phù mô kẽ |
1 |
61 |
0.55 |
0.18 - 1.70 |
-0.10 |
|
TKMP |
3 |
269 |
0.82 |
0.39 - 1.73 |
-0.02 |
|
Phù mô kẽ |
1 |
61 |
0.55 |
0.18 - 1.70 |
-0.10 |
|
Thời gian nằm viện |
1 |
40 |
Giảm 8 ngày |
(-14 ngày) – (-3 ngày) |
|
- Gần đây, trên thế giới có một số nghiên cứu pilot về việc sử dụng surfactant để bơm rửa khí phế quản sau sinh ở trẻ viêm phổi hít phân su. Trẻ VPHPS được bơm rửa khí - phế quản với dd surfactant pha loãng với phospholipid nồng độ 5 mg/mL. Liều: 15 mL/kg (1). Kết quả ban đầu của nghiên cứu pilot cho thấy có hiệu quả so với nhóm chứng. Tuy nhiên, vì đây là nghiên cứu pilot nên ta cần chờ kết quả của nghiên cứu chính thức với cỡ mẫu lớn hơn.
![]() |
![]() |
![]() |
Một số loại Surfactant thị trường |
Tài liệu tham khảo
- Barbara C. C. Lam and C. Y. Yeung. Surfactant Lavage for Meconium Aspiration Syndrome. PEDIATRICS. Vol. 103 No. 5 May 1999, pp. 1014-1018.
- Dargaville PA; Copnell B. The epidemiology of meconium aspiration syndrome: incidence, risk factors, therapies, and outcome. Pediatrics. 2006 May;117(5):1712-21.
- Dargaville PA; South M; McDougall. Surfactant and surfactant inhibitors in meconium aspiration syndrome. PN J Pediatr 2001 Jan;138(1):113-5.
- El Shahed AI, Dargaville PA, Ohlsson A, Soll R. Surfactant for meconium aspiration syndrome in full term/near term infants. Cochrane Database of Systematic Reviews 2007, Issue 3. Art. No D002054. DOI: 10.1002/14651858. CD002054.pub2.
- Michele C. Walsh, MD, MS; Jonathan M. Fanaroff. Meconium Stained Fluid: Approach to the Mother and the Baby. JD Clin Perinatol 34 (2007) 653–665
- Ramon y Cajal CL; Martinez RO. Defecation in utero: a physiologic fetal function. Am J Obstet Gynecol 2003 Jan;188(1):153-6.Soll RF, Dargaville P. Surfactant for meconium aspiration syndrome in full term infants.
Cochrane Database Syst Rev. 2000; (2):CD002054 - Steven L. Gelfand, Jonathan M. Fanaroff. Controversies in the treatment of meconium aspiration syndrom. Clin Perinatol (31) 2004. 445-452
- Wiswell TE; Gannon CM; Jacob J; Goldsmith L; Szyld E; Weiss K; Schutzman D; Cleary GM; Filipov P; Kurlat I; Caballero CL; Abassi S; Sprague D; Oltorf C. Delivery room management of the apparently vigorous meconium-stained neonate: results of the multicenter, international collaborative trial. Padula M Pediatrics 2000 Jan;105(1 Pt 1):1-7.




