.jpg)
GS.TS. Trần Thị Lợi
Chẩn đoán lạc nội mạc tử cung dựa vào bệnh sử, thăm khám lâm sàng, xét nghiệm cận lâm sàng, trong đó siêu âm là phương pháp tốt nhất. Mặc dù tiêu chuẩn vàng để chẩn đoán lạc nội mạc tử cung chính là phẫu thuật nội soi và chẩn đoán xác định bằng Giải Phẫu Bệnh Lý, tuy nhiên điều này không phải luôn luôn thực hiện được và cũng không vì thế mà loại bỏ chẩn đoán lạc nội mạc tử cung.
Chẩn đoán lạc nội mạc tử cung dựa vào các triệu chứng lâm sàng và xét nghiệm cận lâm sàng.
TRIỆU CHỨNG LÂM SÀNG
Triệu chứng cơ năng
Bệnh nhân bị lạc nội mạc tử cung có thể đi khám vì đau hoặc hiếm muộn. Tuy nhiên cũng có nhiều trường hợp lạc nội mạc tử cung không có triệu chứng cơ năng ngay cả khi đã có một nang lạc nội mạc tử cung ở buồng trứng khá to.
Những yếu tố nguy cơ của lạc nội mạc tử cung là ra kinh nhiều, kéo dài, kinh đều vì đây là những yếu tố làm tăng khả năng trào ngược máu kinh qua hai ống dẫn trứng[9].
Triệu chứng đau trong lạc nội mạc tử cung
Trong lạc nội mạc tử cung, bệnh nhân có thể bị thống kinh hoặc đau trằn vùng hạ vị hoặc giao hợp đau. Mức độ đau thay đổi từ nhẹ, trung bình đến nặng. Nếu triệu chứng chính là đau, cần xác định: vị trí, thời gian, mức độ đau. Không có sự tương xứng giữa thể tích khối u lạc nội mạc tử cung của buồng trứng và mức độ đau, tuy vậy những nghiên cứu cho thấy mức độ xâm nhiễm của tổn thương vào cùng đồ, vào vách trực tràng âm đạo có thể tỉ lệ thuận với mức độ đau. Cho đến nay, sự hiểu biết về cơ chế gây đau trong lạc nội mạc tử cung vẫn còn rất ít, 3 cơ chế thường được nhắc đến là [6,8]:
- Thuyết dịch thể: do sự cấy ghép niêm mạc tử cung gây ra tình trạng viêm, hoạt hóa đại thực bào và những tế bào viêm tiết ra: growth factors, cytokines, prostaglandine có trong dịch ổ bụng. Tuy nhiên thuyết này có điểm yếu là không giải thích được vì sao khi khối u lạc nội mạc tử cung chỉ ở một bên buồng trứng thì bệnh nhân chỉ đau một bên hố chậu.
- Do sự xuất huyết mỗi tháng trong mô cấy ghép lạc nội mạc tử cung. Những tổn thương có Hemosiderine hoặc xơ hóa gây đau nhiều hơn tổn thương dạng bóng nước.
- Do kích thích các dây thần kinh ở sàn chậu hoặc mô lạc nội mạc tử cung xâm nhiễm trực tiếp vào các sợi thần kinh ở cùng đồ. Thăm âm đạo nếu thấy có những nốt đau ở cùng đồ sau hoặc dây chằng tử cung - cùng là tiêu chuẩn lâm sàng có độ nhạy đến 85% và độ chuyên 50% giúp chẩn đoán lạc nội mạc tử cung.
Nếu bệnh nhân bị thống kinh, bảng sau đây cho phép đánh giá mức độ đau.
Bảng đánh giá mức độ thống kinh [1]
|
Mức độ |
Khả năng làm việc |
Triệu chứng toàn thân |
Thuốc giảm đau |
|
Độ 0: không đau bụng kinh và không ảnh hưởng hoạt động hằng ngày |
Không ảnh hưởng |
Không |
Không cần dùng |
|
Độ 1: đau bụng kinh nhưng ít ảnh hưởng hoạt động hằng ngày, ít phải sử dụng thuốc giảm đau, đau nhẹ. |
Ít ảnh hưởng |
Không |
Ít cần dùng |
|
Độ 2: đau bụng kinh ảnh hưởng hoạt động hằng ngày, sử dụng thuốc giảm đau có hiệu quả, đau mức độ vừa. |
Ảnh hưởng mức độ vừa |
Ít |
Cần dùng |
|
Độ 3: đau bụng kinh đến mức ức chế hoạt động hằng ngày, sử dụng thuốc giảm đau ít hiệu quả, có triệu chứng tòan thân (nhức đầu, mệt mỏi, nôn ói, tiêu chảy) đau mức độ nặng. |
Ảnh hưởng ức chế rõ |
Có |
Hiệu quả kém |
Sang thương lạc nội mạc tử cung ở những vị trí ngoài ổ bụng như ở vết cắt khâu tầng sinh môn, vết mổ bụng (trong mổ lấy thai) có triệu chứng tương đối điển hình hơn: do tính chất mỗi tháng khi ra kinh đều có chảy máu trong nang lạc nội mạc tử cung nên sang thương sẽ to ra, sưng, đau khi bệnh nhân hành kinh.
Hiếm muộn
Lạc nội mạc tử cung thường đi kèm với hiếm muộn. Theo y văn, 9-50% những phụ nữ bị mổ nội soi vì hiếm muộn được phát hiện có sang thương lạc nội mạc tử cung. Trong số những phụ nữ bị lạc nội mạc tử cung, có khoảng 30-50% bị hiếm muộn.
Cơ chế gây hiếm muộn trong lạc nội mạc tử cung:
- Do vị trí sang thương: lạc nội mạc tử cung ở ống dẫn trứng có thể làm tắc nghẽn hoặc ảnh hưởng đến nhu động của ống dẫn trứng trong trường hợp ống dẫn trứng còn thông. Nếu có nang lạc nội mạc tử cung ở buồng trứng sẽ làm loa vòi bị kéo dài hoặc tạo dải dính, ảnh hưởng đến khả năng đón nhận noãn của ống dẫn trứng.
- Lạc nội mạc tử cung cũng có thể gây ra những chu kỳ không phóng noãn hoặc rối loạn phóng noãn trong các trường hợp nang lạc nội mạc tử cung to ở cả hai buồng trứng. Trong lạc nội mạc tử cung, nang noãn có thể bị hoàng thể hóa sớm hoặc phát triển bất thường gây rối loạn giai đoạn hoàng thể.
- Cơ chế miễn dịch dịch thể, miễn dịch tế bào: lạc nội mạc tử cung làm tăng số tế bào lympho trong dịch ổ bụng, tăng số lượng đại thực bào và làm tăng khả năng thực bào của các tế bào này. Trong dịch ổ bụng, nồng độ các chất chế tiết của đại thực bào gây độc cho: giao tử, sự thụ tinh, sự phát triển của phôi và sự làm tổ của trứng thụ tinh.
Triệu chứng tiêu hóa
Lạc nội mạc tử cung thường đi kèm với các triệu chứng về tiêu hóa như: buồn nôn, ói, chướng bụng, khó tiêu. Bệnh nhân cũng có thể bị đau khi đi tiêu gợi ý đến một sang thương lạc nội mạc tử cung ở vách trực tràng - âm đạo hoặc ở cùng đồ Douglas.
Chính những triệu chứng tiêu hóa mơ hồ kèm với tình trạng thống kinh hoặc đau vùng chậu mãn tính hoặc giao hợp đau làm cho người bệnh không hiểu rõ mình bị đau ở cơ quan nào, nên chậm trễ trong việc đi khám bệnh và do đó chẩn đoán thường bị muộn.
Triệu chứng tiết niệu
Bệnh lý hiếm, xảy ra khoảng 1% những trường hợp lạc nội mạc tử cung. Triệu chứng thường gặp là đau vùng hạ vị (100%), đau trước khi đi tiểu (25%) và đôi khi bệnh nhân có thể bị tiểu ra máu vào thời kỳ hành kinh (khoảng 20-30% các trường hợp).
Chẩn đoán dựa vào siêu âm và cộng hưởng từ cho thấy mức độ lan rộng của sang thương lạc nội mạc tử cung. Soi bàng quang có thể phát hiện hai dạng bệnh lý: sang thương sùi chảy máu khi chạm giống ung thư hoặc không phát hiện sang thương nếu lạc nội mạc tử cung chưa xâm lấn vào đến lòng bàng quang.
Vị trí thường gặp nhất là ở đỉnh và mặt sau bàng quang do tính chất gần sát với tử cung, may mắn là tổn tương ít lan đến lỗ niệu đạo.
Triệu chứng khác
Tùy vị trí sang thương, lạc nội mạc tử cung có thể gây ra ho ra máu trong lạc nội mạc tử cung ở phổi; tiêu máu trong lạc nội mạc tử cung ở trực tràng, đại tràng …
Sang thương lạc nội mạc tử cung cũng có thể ở nhiều cơ quan khác như ruột, phổi, vú, gan, tụy, túi mật, cơ hoành, tứ chi, xương, cột sống…
Triệu chứng thực thể
Khám bệnh nhân trong lúc có kinh sẽ giúp nhận định sang thương dễ dàng hơn. Tùy vị trí sang thương, khi khám phụ khoa có thể ghi nhận:
- Âm hộ: vết cắt khâu tầng sinh môn là vị trí thường gặp của nốt lạc nội mạc tử cung.
- Cổ tử cung: có bị lệch, di động kém, đau hoặc có nốt lạc nội mạc tử cung, màu xanh tím, đau và to ra khi có kinh.
- Dây chằng tử cung - cùng: căng, có nốt lạc nội mạc tử cung, đau khi chạm.
- Tử cung: kích thước bình thường hoặc lớn hơn bình thường trong trường hợp lạc nội mạc tử cung vào trong cơ tử cung (adenomyosis). Tử cung có thể bị ngả sau, di động kém do những tổn thương lạc nội mạc tử cung ở dây chằng tử cung - cùng.
- Hai phần phụ nề hoặc có khối u trong trường hợp có nang lạc nội mạc tử cung. Đặc điểm của nang lạc nội mạc tử cung là khối u hình cầu, tròn đều, di động kém.
- Cùng đồ trống hoặc nề, có khối u
- Vách trực tràng - âm đạo nề, đau khi có sang thương lạc nội mạc tử cung. Dấu hiệu này phát hiện được khi thăm khám với một ngón tay trong âm đạo và một ngón tay trong trực tràng.
Khám lâm sàng rất quan trọng để chẩn đoán và đánh giá sang thương lạc nội mạc tử cung. Tuy nhiên trong những trường hợp lạc nội mạc tử cung mức độ nhẹ và sang thương chỉ ở trên phúc mạc, khám lâm sàng có thể không phát hiện được bất thường.
DẤU HIỆU CẬN LÂM SÀNG
Siêu âm
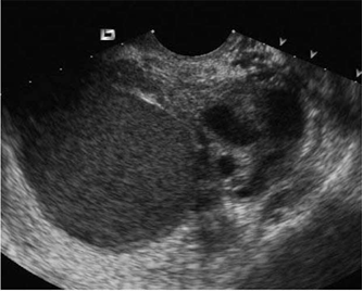
Nang lạc nội mạc tử cung có hình ảnh một khối u echo kém, thành trơn láng, chứa dịch dạng vân mây. Những nang lạc nội mạc tử cung mới thành lập có dạng hình cầu, thành nang tương đối trơn láng. Những nang được thành lập lâu, dần dần hình dạng thay đổi, thành nang có thể có góc cạnh do phúc mạc bị dính, co kéo, thành nang trở nên dày, echo đặc [7].
Siêu âm Doppler cho thấy thành nang phân bố mạch máu ít, không có dấu hiệu nghi ngờ ác tính.
Hình 0. Hình ảnh siêu âm nang lạc nội mạc tử cung ở buồng trứng. Nguồn: tài liệu tham khảo số [Error! Reference source not found.]
Siêu âm hai chiều cho thấy nang lạc nội mạc tử cung có thành dày, chứa dịch đồng nhất, echo kém, dạng vân mây.
CA 125
Trong lạc nội mạc tử cung, CA 125 tăng cao (>35 U/ml). Năm 2002, tác giả Cheng, YM và cộng sự nghiên cứu 685 trường hợp lạc nội mạc tử cung giai đoạn I, II, III, IV nhận thấy nồng độ trung bình của CA 125 là 19, 40, 77 và 182 IU/ml [8]. CA 125 >100 IU/ml trong những trường hợp sang thương lạc nội mạc tử cung lan rộng hoặc vỡ nang lạc nội mạc tử cung. CA 125 không phải là ấn chỉ nhạy, chuyên biệt của lạc nội mạc tử cung vì CA 125 cũng tăng cao trong một số bệnh lý phụ khoa khác như: ung thư buồng trứng loại biểu mô.
Cộng hưởng từ
Chỉ sử dụng khi nghi ngờ sang thương lạc nội mạc tử cung ăn lan đến những cơ quan lân cận như bàng quang, trực tràng, vách trực tràng - âm đạo, giúp đánh giá độ xâm lấn của tổn thương để có những sự chuẩn bị cần thiết trước khi mổ[9].
Nên chỉ định làm cộng hưởng từ ngay khi mới sạch kinh để có thể nhận ra dấu hiệu xuất huyết trong những sang thương lạc nội mạc tử cung, hơn nữa, có thể còn nhận thấy có ít dịch ở cùng đồ Douglas.
Cộng hưởng từ có thể phát hiện những sang thương lạc nội mạc tử cung ở các vị trí:
- Sang thương ở phúc mạc: ở cùng đồ Douglas, nếp phúc mạc bàng quang - tử cung.
- Sang thương sau phúc mạc: dây chằng tử cung - cùng, vách trực tràng - âm đạo, cơ vùng chậu, những sang thương ở thành bụng nơi sẹo mổ nội soi hoặc mổ lấy thai.
PHẪU THUẬT NỘI SOI Ổ BỤNG
Phẫu thuật nội soi ổ bụng là tiêu chuẩn vàng giúp chẩn đoán lạc nội mạc tử cung vì sang thương lạc nội mạc tử cung thường ở vùng chậu và có nhiều dạng không thể phát hiện được bằng những phương tiện cân lâm sàng vừa nêu trên.
Thời điểm nội soi tốt nhất là trong nửa đầu chu kỳ kinh vì nếu có lạc nội mạc tử cung, sang thương sẽ được giải quyết. Nếu mổ trong ½ sau chu kỳ kinh, vì vết thương nơi phóng noãn ở buồng trứng còn mới, chưa lành nên rất thuận lợi cho tế bào nội mạc tử cung cấy ghép, gây tái phát lạc nội mạc tử cung sau mổ[11].
Những hình ảnh của sang thương lạc nội mạc tử cung qua nội soi rất đa dạng, dạng điển hình như những nốt hoặc nang màu đen, nâu đen, xanh sậm, trong chứa dịch giống sô cô lạ. Những dạng không điển hình: sang thương đỏ rực như bị phỏng, như bị bắn, hoặc những bóng nước, những vết rách phúc mạc. Chính vì sự đa dạng này của sang thương lạc nội mạc tử cung mà khi phẫu thuật nội soi, nếu chỉ chỉ quan sát, có thể bị nhầm, không chẩn đoán được, mà phải sinh thiết sang thương để có chẩn đoán xác định bằng kết quả giải phẫu bệnh lý.
Sự chính xác của chẩn đoán lạc nội mạc tử cung khi mổ nội soi do đó phụ thuộc rất nhiều vào kinh nghiệm của phẫu thuật viên. Trong một nghiên cứu cho thấy sự phù hợp giữa chẩn đoán lạc nội mạc tử cung trên đại thể và trên vi thể của những phẫu thuật viên nội soi có kinh nghiệm là 76% trong khi của những phẫu thuật viên chưa kinh nghiệm là 42%. Tuy nhiên, còn phải xét đến một yếu tố gây nhiễu là các tiêu chí chẩn đoán lạc nội mạc tử cung của giải phẫu bệnh lý cũng đa dạng, do đó các bác sĩ giải phẫu bệnh lý cũng có thể áp dụng các tiêu chí khác nhau[8].
Những bệnh nhân nghi ngờ bị lạc nội mạc tử cung khi được mổ nội soi đều phải ký bản đồng thuận là nếu khi mổ nếu phát hiện có sang thương lạc nội mạc tử cung thì các tổn thương đó sẽ được bóc tách lấy đi hoặc đốt phá hủy. Chính vì vậy, những phẫu thuật viên mổ nội soi lạc nội mạc tử cung nên là người có kinh nghiệm để có thể làm tốt công tác điều trị, giảm thiểu tái phát hoặc tai biến trong và sau khi mổ.
Chẩn đoán phân biệt [6,9]
Khi mổ nội soi hoặc mở bụng, quan sát bằng mắt thường có thể nhầm lạc nội mạc tử cung với các tổn thương sau đây:
- Viêm ống dẫn trứng
- Tăng sinh tế bào mạc treo ống dẫn trứng
- U máu
- Ứ đọng Hemosiderin
- Phản ứng viêm
- Phản ứng với chất cản quang tan trong dầu (khi chụp buồng tử cung - ống dẫn trứng cản quang)
Nếu nghi ngờ, nên sinh thiết để có chẩn đoán xác định bằng giải phẫu bệnh lý.
KẾT LUẬN
Lạc nội mạc tử cung là một bệnh lý đa dạng, với các biểu hiện lâm sàng gồm ba nhóm triệu chứng chính là: đau, hiếm muộn và khối u nang lạc nội mạc tử cung. Do không có sự tương ứng giữa triệu chứng lâm sàng và sang thương lạc nội mạc tử cung nên tiêu chuẩn vàng để chẩn đoán lạc nội mạc tử cung là phẫu thuật nội soi ổ bụng. Tuy nhiên, vì không phải tất cả bệnh nhân bị lạc nội mạc tử cung đều được mổ nội soi, nên nếu không có tiêu chuẩn vàng này thì cũng không vì vậy mà loại bỏ chẩn đoán. Chính vì vậy mà rất khó xác định tỉ lệ hiện mắc của bệnh lý lạc nội mạc tử cung.
TÀI LIỆU THAM KHẢO
- Andersch, B, Milsom, I. Verbal multidimensional scoring system for assessment of dysmenorrhea Am J Obstet Gynecol 1982; 144:655.
- AU Crosignani PG; Luciano A; Ray A; Bergqvist A. Subcutaneous depot medroxyprogesterone acetate versus leuprolide acetate in the treatment of endometriosis-associated pain. SO Hum Reprod. 2006 Jan;21(1):248-56. Epub 2005 Sep 21
- AU Wayne PM; Kerr CE; Schnyer RN; Legedza AT; Savetsky-German J; Shields MH; Buring JE; Davis RB; Conboy LA; Highfield E; Parton B; Thomas P; Laufer MR . Japanese-style acupuncture for endometriosis-related pelvic pain in adolescents and young women: results of a randomized sham-controlled trial. SO J Pediatr Adolesc Gynecol. 2008 Oct;21(5):247-57.
- AU Yap C; Furness S; Farquhar C. Pre and post operative medical therapy for endometriosis surgery. SO Cochrane Database Syst Rev. 2004;(3):CD003678.
- Barbara Goff, MD, Deborah Levine, MD, Sandy J Falk, MD. Sonographic differentiation of benign versus malignant adnexal masses. Up to date: Last literature review version 18.1: February 2010. This topic last updated: February 25, 2009.
- Davis LJ, Kennedy SS, Moore J, Prentice A. Oral contraceptives for pain associated with endometriosis. Cochrane Database of Systematic Reviews 2007, Issue 3. Art. No.: CD001019. DOI:10.1002/14651858. CD001019.pub2.Copyright © 2009 The Cochrane Collaboration. Published by John Wiley & Sons, Ltd.
- Ghezzi F, Raio L, et al. Kissing ovaries: a sonographic sign of moderate to severe endometriosis. Fertil Steril. 2005; 83: 143-7
- Kelvin Gosteen, Kaylon L. Bruner and Esther Eisenberg. The disease Endometriosis. Endometrium & Endometriosis, Blackwell science, 1997; 20-26.
- Robert S Schenken, MD Section Editor, Robert L Barbieri, MD, Vanessa A Barss, MD. Overview of the treatment of endometriosis. Last literature review version 18.1: February 2010. This topic last updated: January 21, 2010.
- Trần Thị Lợi. Sơ bộ tìm hiểu kết quả điều trị lạc nội mạc tử cung bằng chất đồng vận GnRH. Y Học TPHCM. Hội nghị khoa học kỹ thuật lần thứ 20: 20-21/03/03. Chuyên đề Sản Phụ Khoa, Tập 7, Phụ bản số 1, 2003, trang 1-4.
- Trần Thị Lợi, Trần Lâm Khoa (2010). Mối liên quan giữa thời điểm phẫu thuật và tái phát lạc nội mạc tử cung sau phẫu thuật bóc u. Y Học TPHCM. Hội Nghị Khoa Học Công Nghệ Tuổi Trẻ lần 21, 14.01.2010, Chuyên đề Y Học Tuổi Trẻ. Phụ bản tập 14, Số 1,2010, trang: 307-310.
- Trần Thị Lợi. Điều trị lạc nội mạc tử cung. Y Học TPHCM. Hội nghị khoa học kỹ thuật lần 28, 14/01/2011. Chuyên đề Sức Khỏe Sinh sản và Bà Mẹ - Trẻ Em. Phụ bản của tập15* Số 1*, 2011, trang 1-6.