Bệnh tuyến cơ tử cung (adenomyosis) được định nghĩa là có sự hiện diện của các tuyến hay mô đệm của nội mạc tử cung hoặc những cấu trúc giống nội mạc tử cung vào trong lớp cơ tử cung. Tần suất của adenomyosis có mức dao động rất rộng, từ 0.5 - 70% tuỳ theo đặc điểm dân số nghiên cứu. Ngoài ra, do triệu chứng lâm sàng đa dạng, không đặc hiệu, cộng với cơ chế bệnh sinh chỉ là giả thuyết, nên cho đến nay, việc chẩn đoán xác định gặp không ít trở ngại.
Chẩn đoán adenomyosis hiện nay dựa vào siêu âm và cộng hưởng từ (MRI). Siêu âm là lựa chọn đầu tay trong chẩn đoán do những ưu điểm như kỹ thuật thực hiện đơn giản cũng như chi phí thấp. Tuy nhiên, MRI cũng giữ vai trò khá quan trọng vì cho phép đánh giá dạng tổn thương, vị trí, mức độ lan rộng của tổn thương, đánh giá toàn diện trước phẫu thuật can thiệp.
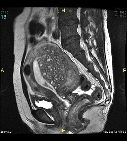
Các dấu hiệu chẩn đoán adenomyosis trên MRI bao gồm:
Chẩn đoán adenomyosis hiện nay dựa vào siêu âm và cộng hưởng từ (MRI). Siêu âm là lựa chọn đầu tay trong chẩn đoán do những ưu điểm như kỹ thuật thực hiện đơn giản cũng như chi phí thấp. Tuy nhiên, MRI cũng giữ vai trò khá quan trọng vì cho phép đánh giá dạng tổn thương, vị trí, mức độ lan rộng của tổn thương, đánh giá toàn diện trước phẫu thuật can thiệp.
Các dấu hiệu chẩn đoán adenomyosis trên MRI bao gồm:
- Tử cung dạng hình cầu, bờ đều
- Thành tử cung dày không đồng đều (thành trước thường dày hơn thành sau)
- Vùng nối (junctional zone – JZ) dày >= 12 mm
- Tỷ số giữa toàn bộ cơ tử cung và vùng chuyển tiếp lớn nhất > 40-50% (liên quan đến tăng sinh tuyến lớp cơ tử cung)
- Vùng tăng tín hiệu tập trung dọc theo nội mạc tử cung trên T2 và đôi khi thấy trên T1 xóa mỡ - là hình ảnh của tuyến chứa dịch hoặc có thể có xuất huyết.

Mới đây, một nghiên cứu được thực hiện nhằm đánh giá lại giá trị của tiêu chuẩn JZ >= 12 mm và đặc điểm hình ảnh của JZ trên MRI trong chẩn đoán adenomyosis ở phụ nữ tiền mãn kinh.
Nghiên cứu mô tả tiến cứu này phân tích các đặc điểm hình ảnh trên MRI của 93 phụ nữ tiền mãn kinh được chỉ định cắt tử cung. Các đặc điểm mô tả trên MRI được đọc bởi hai người khác nhau và có làm mù kết quả. Các dấu hiệu được ghi nhận bao gồm bề dày tối đa của JZ, dấu hiệu JZ >= 12 mm, hình ảnh bất thường JZ (như bờ trong và bờ ngoài không đều, vùng tăng tín hiệu tập trung hoặc hình ảnh giống ngón tay của bờ trong).
Kết quả giải phẫu bệnh chẩn đoán xác định adenomyosis ở 57/93 trường hợp (61%). Bề dày tối đa JZ không tương quan chẩn đoán adenomyosis và không có sự khác biệt có ý nghĩa về JZ ở nhóm có và không adenomyosis (10.3 so với 10.1 mm, p = 0.88). Ngoài ra, ngưỡng cắt JZ >= 12 mm cũng không khác biệt có ý nghĩa ở nhóm có và không adenomyosis (n = 30/57 (53%) vs n = 16/36 (44%), p = 0.29). Dấu hiệu hình ảnh JZ bất thường là có giá trị nhất trong các dấu hiệu mô tả với độ nhạy 74% (95% CI, 60, 85); độ đặc hiệu 83% (95% CI, 67, 94) (p < 0.001).
Nghiên cứu kết luận đo bề dày JZ có giá trị hạn chế trong chẩn đoán adenomyosis trên MRI và xem lại có nên sử dụng làm tiêu chuẩn chẩn đoán hay không. Trong dân số nghiên cứu được khảo sát, hình ảnh JZ không đều, có sự hiện diện của các nang trong cơ tử cung có độ nhạy và độ đặc hiệu cao nhất để chẩn đoán adenomyosis. Từ đó đặt ra vấn đề cần có đồng thuận về định nghĩa và dấu hiệu mô tả đặc điểm JZ trên MRI trong chẩn đoán adenomyosis.
BS. Lê Tiểu My
Lược dịch từ: Diagnosing adenomyosis with MRI: a prospective study revisiting the junctional zone thickness cutoff of 12 mm as a diagnostic marker - European Society of Radiology 2019 - https://doi.org/10.1007/s00330-019-06308-3