BS. Lê Tiểu My

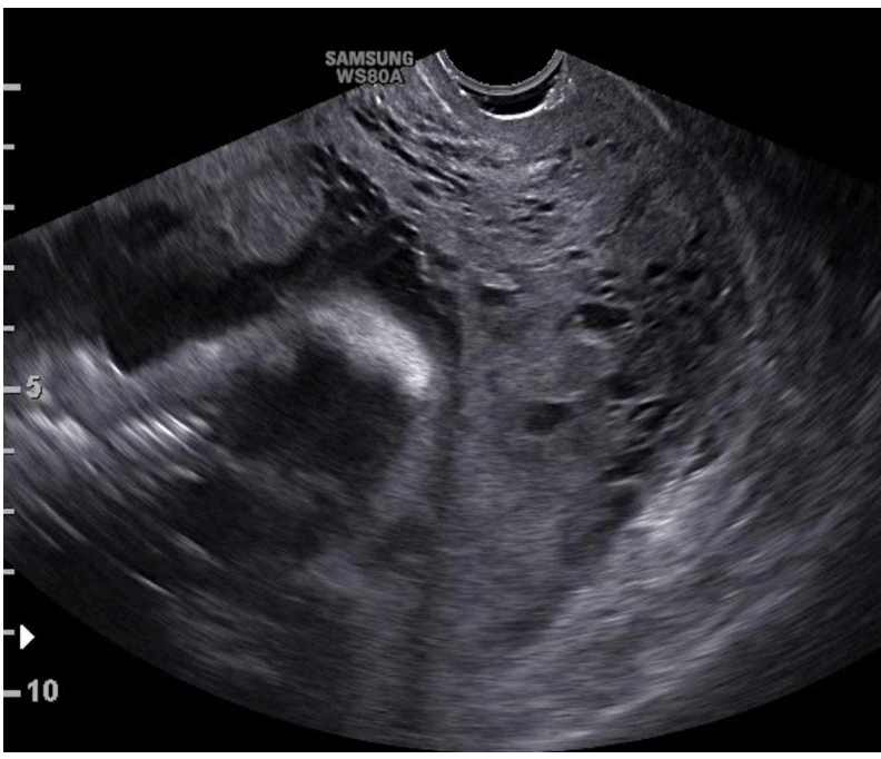
Hình: dấu hiệu “intracervical lakes” trên siêu âm thang xám
Nguồn: ISUOG
Hiện nay, tỷ lệ nhau cài răng lược có khuynh hướng gia tăng, nguyên nhân được cho là do xu hướng gia tăng tỷ lệ mổ lấy thai trên toàn cầu. Chẩn đoán nhau cài răng lược (NCRL) trước sinh có thể làm giảm tỷ lệ tử vong mẹ. Trong thực hành hiện nay, NCRL được chẩn đoán chủ yếu dựa trên siêu âm, ngoài ra cần sự hỗ trợ của MRI trong một số trường hợp khó đánh giá, như nhau bám mặt sau tử cung. Các dấu hiệu “điển hình” chẩn đoán NCRL trên siêu âm bao gồm mất khoảng sáng sau nhau, xoang mạch máu sau nhau, thành bàng quang mất liên tục, tăng sinh mạch máu dựa trên siêu âm Doppler. Tuy nhiên, phần lớn các nghiên cứu đã công bố chỉ đánh giá giá trị chẩn đoán của các dấu hiệu trên siêu âm nhưng chưa xét đến khả năng dự đoán mức độ nặng của NCRL. Ngoài những tiêu chuẩn chẩn đoán đã được công bố, một dấu hiệu mới trên siêu âm vừa được giới thiệu nhằm tăng khả năng chẩn đoán NCRL. Dấu hiệu này được gọi tên là “intracervical lakes”.
Để đánh giá độ chính xác trong chẩn đoán NCRL của dấu hiệu “intracervical lakes”, một nghiên cứu hồi cứu đa trung tâm được tiến hành, thu thập dữ liệu từ năm 2015 – 2018. Tính chính xác trong chẩn đoán NCRL của dấu hiệu “intracervical lakes” được đánh giá qua độ nhạy, độ đặc hiệu, khả năng tiên đoán dương – âm... Ngoài ra, nghiên cứu còn phân tích khả năng dự đoán các kết cục liên quan NCRL như: tổng lượng máu mất, ra huyết trước sinh, băng huyết sau sinh khi mổ lấy thai, chỉ định cắt tử cung.
Tổng cộng có 332 phụ nữ mang thai ở độ tuổi trung bình là 33 tham gia vào nghiên cứu. Các thai phụ được chẩn đoán nhau tiền đạo và nhau bám thấp ở tuổi thai sau 26 tuần dựa trên siêu âm hai chiều, ba chiều và Doppler. Dấu hiệu “intracervical lakes” ghi nhận ở 15,1% trong tổng số bệnh nhân được chẩn đoán nhau cài răng lược. Dấu hiệu này liên quan độc lập đến băng huyết sau sinh (OR 3.3; 95%CI 1.6-6.5; p<0.001), cắt tử cung (OR 7.0; 95%CI 2.1-23.9; p<0.001), nhau cài răng lược (OR 2.8; 95%CI 1.3-5.8; p<0.01).
Khi so sánh với nhóm bệnh nhân nhau tiền đạo không có dấu hiệu trên siêu âm, nếu có ít nhất một dấu hiệu điển hình của NCRL và dấu hiệu “intracervical lakes”, tỷ lệ NCRL tăng rất cao (OR 217.2 (95%CI 27.7-1703.4; p<0.001), khả năng cắt tử cung khi mổ lấy thai cũng tăng 687.4 lần (95%CI 121.4-3893.0; p<0.001).
Nghiên cứu đi đến kết luận, “intracervical lakes” có thể là dấu hiệu cần lưu ý khi đánh giá mức độ xâm lấn của gai nhau trong các trường hợp nhau tiền đạo. Sự xuất hiện của dấu hiệu này còn có ý nghĩa tiên lượng nặng ở các thai phụ nghi ngờ NCRL.
Lược dịch từ: Intracervical lakes as a sonographic marker of placenta accreta spectrum (PAS) in patients with previa and low‐lying placenta – ISUOG 10 September 2019 https://doi.org/10.1002/uog.21866