Phạm Văn Đức, Âu Nhựt Luân
Bộ môn Phụ Sản Đại học Y Dược TPHCM
TÓM TẮT
Mục tiêu
Xác định mối liên quan giữa nồng độ CA-125 huyết thanh với lạc nội mạc tử cung (LNMTC) phúc mạc theo mức độ nặng của bệnh, lạc tuyến trong cơ tử cung.
Xác định ngưỡng cắt CA-125 phù hợp cho chẩn đoán LNMTC phúc mạc và lạc tuyến trong cơ tử cung.
Phương pháp nghiên cứu
Một thử nghiệm chẩn đoán trên 220 trường hợp có chỉ định phẫu thuật điều trị hiếm muộn tại bệnh viện Đại học Y Dược, tất cả các đối tượng đều được thực hiện tổng soát Bilan hiếm muộn, tổng soát tiền phẫu và CA-125 sau sạch kinh. Dựa vào kết quả nội soi ổ bụng chia các đối tượng thành 2 nhóm: nhóm có LNMTC vùng chậu, lạc tuyến trong cơ tử cung (nhóm bệnh) và nhóm không có LNMTC (nhóm chứng)
Kết quả
Nồng độ CA-125 trung bình trong huyết thanh ở nhóm có LNMTC phúc mạc cao hơn nhóm chứng có ý nghĩa thống kê (48,63 ± 54,34 so với 13,36 ± 11,19), nhóm lạc tuyến cơ tử cung cao hơn nhóm chứng có ý nghĩa thống kê (60,283 ± 64,46 so với 20,34 ± 20,77). Không có sự khác biệt có ý nghĩa thống kê giữa nhóm LNMTC phúc mạc tối thiểu, nhẹ so với nhóm chứng với p lần lượt 0,962, 0,128. Nhưng có sự khác biệt có ý nghĩa thống kê giữa nhóm LNMTC phúc mạc vừa, nặng so với nhóm chứng. Chúng tôi đề nghị ngưỡng điểm cắt của CA-125 là 16,06 UI/ml và 20,86 UI/ml cho test chẩn đoán LNMTC phúc mạc và lạc tuyến trong cơ tử cung.
Kết luận
CA-125 huyết thanh đơn giản và không xâm lấn cho chẩn đoán và giúp gợi ý độ nặng của LNMTC phúc mạc nhất là giai đoạn nặng của bệnh và lạc tuyến trong cơ tử cung.
ĐẶT VẤN ĐỀ
Cho đến nay, các chứng cứ về mối liên quan giữa LNMTC và hiếm muộn vẫn chưa rõ ràng, nhưng tỷ lệ có thai giảm dần theo mức độ nặng của bệnh [3]. Nội soi ổ bụng xác định bệnh LNMTC vẫn là tiêu chuẩn vàng chẩn đoán [1], đây là phương pháp xâm lấn và có một vai trò nhất định đối với u lạc nội mạc tử cung và LNMTC phúc mạc mức độ nhẹ và tối thiểu, còn đối với LNMTC mức độ nặng thì dường như không có vai trò của phẫu thuật can thiệp [2].
Siêu âm chỉ có giá trị trong u LNMTC buồng trứng, CA-125 không có giá trị chẩn đoán xác định LNMTC vùng chậu khi so với nội soi ổ bụng [2], nhưng lại giá thành rẻ và không xâm lấn như phẫu thuật, giá trị tiên đoán cao đối với LNMTC nặng [1]. Ngày nay, với tiến bộ của hình ảnh học chẩn đoán xác lập bản đồ và có thể định mức độ nặng của LNMTC, thì việc thực hiện nội soi chỉ với mục tiêu định mức độ nặng của LNMTC vùng chậu là không cần thiết và mang tính xâm hại, do đó thực hiện CA-125 kèm hướng dẫn tiếp theo bởi hình ảnh học là hướng đi mới với mục tiêu ít xâm lấn và lấy bệnh nhân là trung tâm [6].
PHƯƠNG PHÁP VÀ TIẾN HÀNH NGHIÊN CỨU
Một thử nghiệm chẩn đoán được thực hiện tại BV Đại học Y Dược từ tháng 8/2008 đến 9/2010 trên 220 đối tượng nội soi điều trị hiếm muộn. Chúng tôi loại ra khỏi mẫu nghiên cứu các trường hợp u LNMTC buồng trứng được phát hiện trên siêu âm, phụ nữ dùng nội tiết điều trị trong vòng 6 tháng trước nội soi, có viêm vùng chậu.
Tất cả các trường hợp nội soi có LNMTC đều được đánh giá phân độ theo Hội Sinh sản Hoa kỳ (AFS) bởi hai bác sĩ chuyên ngành hiếm muộn và vẽ lại sơ đồ tổn thương trong bảng tường trình phẫu thuật.
|
|
|
|
LNMTC phúc mạc mức độ tối thiểu (độ I) |
LNMTC phúc mạc mức độ nhẹ (độ II) |
|
|
|
|
LNMTC phúc mạc mức độ vừa (độ III) |
LNMTC phúc mạc mức độ nặng (độ IV) |
Các trường hợp có nghi ngờ lạc tuyến trong cơ tử cung trên nội soi đều được siêu âm màu và chụp cộng hưởng từ nhân để khẳng định chẩn đoán bởi các bác sĩ khoa chẩn đoán hình ảnh bệnh viện ĐHYD đảm nhận.
|
|
|
|
Siêu âm Doppler nghi Adenomyosis |
MRI nghi tổn thương Adenomyosis |
|
|
|
|
Nội soi buồng tử cung có nốt lạc tuyến |
Nội soi ổ bụng và mô học Adenomyosis |
Phép kiểm T độc lập được sử dụng để so sánh trung bình của nồng độ CA-125 của nhóm có LNMTC với nhóm chứng và phân tích kiểm định phương sai giữa các nhóm độ nặng LNMTC khác nhau với nhóm chứng. Vẽ đường cong ROC xác định ngưỡng cắt phù hợp của nồng độ CA-125 trong chẩn đoán LNMTC vùng chậu và lạc tuyến cơ tử cung.
KẾT QUẢ NGHIÊN CỨU
Qua 220 trường hợp nghiên cứu rút ra một số đặc điểm chung như sau:
- Tuổi trung bình là 32,12 ± 4,1.
- Phụ nữ vô sinh nguyên phát chiếm 67,7%.
- Thời gian vô sinh trung bình là 5 ± 3 năm.
- Kết quả chụp buồng tử cung vòi trứng cho thấy thông thương tốt chiếm 50%, tắc một bên chiếm 16,8%, hai bên là 24,1%, còn ứ dịch là 9,1%.
- Chỉ định mổ lần này chủ yếu do nguyên nhân tại ống dẫn trứng chiếm 41,4%, thất bại IUI chiếm 24,1%, thất bại IVF chiếm 12,3%, thất bại cả hai là 9,1%.
- Nồng độ CA-125 trung bình ở nhóm có lạc tuyến trong cơ tử cung cao hơn nhóm chứng có ý nghĩa thống kê (60,283 ± 64,46 so với 20,34 ± 20,77) với p=0,000
Bảng 1. Nồng độ CA-125 trung bình của nhóm Adenomyosis với nhóm chứng
|
|
Số bệnh nhân (phần trăm %) |
CA-125 (IU/ml) (trung bình ± độ lệch chuẩn) |
|
Adenomyosis |
80 (36,4%) |
20,34 ± 20,77 |
|
Nhóm chứng |
140 (63,6%) |
60,283 ± 64,46 |
- Nồng độ CA-125 trung bình ở nhóm có LNMTC phúc mạc nói chung cao hơn nhóm chứng có ý nghĩa thống kê (48,63 ± 54,34 so với 13,36 ± 11,19) với p=0,000.
- Nồng độ CA-125 tăng dần theo độ nặng của bệnh (bảng 1), khi phân tích kiểm định trung bình (T test) thì không có sự khác biệt có ý nghĩa thống kê giữa LNMTC phúc mạc tối thiểu với nhẹ (p=0,468) và độ nhẹ với vừa (p=0,245). Nhưng có khác biệt có ý nghĩa thống kê giữa LNMTC vừa-nặng so với các mức độ nhẹ hơn (p=0,000).
Bảng 2. Nồng độ CA-125 trung bình của nhóm LNMTC phúc mạc với nhóm chứng
|
Giai đoạn LNMTC phúc mạc theo phân loại AFS |
Số bệnh nhân (phần trăm %) |
CA-125 (IU/ml) (trung bình ± độ lệch chuẩn) |
|
Không kèm LNMTC (nhóm chứng) |
86 (39,1%) |
13,36 ± 11,19 |
|
Độ I (tối thiểu) |
44 (20,0%) |
16,23 ± 8,42 |
|
Độ II (nhẹ) |
31 (14,1%) |
25,80 ± 13,08 |
|
Độ III (vừa) |
24 (10,9%) |
42,44 ± 17,66 |
|
Độ IV (nặng) |
35 (15,9%) |
113,83 ± 69,73 |
- Kết quả phân tích so sánh trung bình của nồng độ CA125 thấy không có khác biệt có ý nghĩa thống kê giữa LNMTC tối thiểu và nhẹ so với nhóm chứng với p lần lượt là 0,985 và 0,274, có khác biệt có ý nghĩa thống kê giữa LNMTC vừa và nặng với nhóm chứng với p=0,000 (biểu đồ dưới).

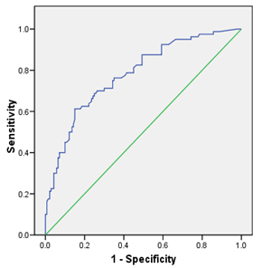
- Vẽ đường cong ROC xác định ngưỡng cắt nồng độ CA125 phù hợp:
|
|
|
|
Diện tích dưới đường cong ROC (UAC) của CA-125 cho LNMTC phúc mạc 0,846 |
Diện tích dưới đường cong ROC (UAC) của CA-125 cho lạc tuyến cơ tử cung 0,781 |
- Ngưỡng cắt CA-125 phù hợp cho chẩn đoán LNMTC phúc mạc là 16,06 UI/ml với độ nhạy là 76,1% và độ đặc hiệu 75,6%, còn ngưỡng CA-125 cho chẩn đoán lạc tuyến cơ tử cung là 20,86 UI/ml cho độ nhạy là 70,0% và độ đặc hiệu 73,6% với diện tích dưới đường cong ROC thích hợp chẩn đoán.
Bảng 3. Ngưỡng cắt CA-125 phù hợp cho chẩn đoán LNMTC phúc mạc và lạc tuyến cơ tử cung với diện tích dưới đường cong ROC thích hợp chẩn đoán.
|
Ngưỡng CA-124 |
Độ nhạy (%) |
Độ đặc hiệu (%) |
AUC (95% CI) |
Giá trị p |
|
LNMTC phúc mạc (16,06 UI/ml) |
76,1%
|
75,6%
|
0,846 (0,795 – 0,897) |
0,000
|
|
Adenomyosis (20,86 UI/ml) |
70,0% |
73,6% |
0,781 (0,718 - 0,844) |
0,000 |
BÀN LUẬN
CA-125 là kháng nguyên bề mặt có nguồn gốc biểu mô của các cơ quan từ Mullerian bao gồm kênh cổ tử cung, nội mạc tử cung, vòi trứng và màng lót cơ quan trong khoang cơ thể (phúc mạc, màng tim). Nồng độ huyết thanh cao kết hợp với các bệnh lành và ác tính từ các cơ quan này, nhưng tăng cao hơn ở bệnh lý nguồn gốc lạc vị hơn các nội mô chính vị nên sử dụng chẩn đoán LNMTC.
Nghiên cứu của Saghar [6] cho thấy CA-125 cao có ý nghĩa ở nhóm có LNMTC so với nhóm bệnh phụ khoa lành tính khác, không có sự khác biệt giữa nhóm LNMTC nhẹ và tối thiểu so với nhóm chứng, đặc biệt nhóm có LNMTC mức độ vừa-nặng cao có ý nghĩa so với nhóm còn lại (p<0,05) tương tự kết quả nghiên cứu của chúng tôi.
Tác giả Kurdoglu [4] cho thấy CA-125 tăng theo giai đoạn nặng của bệnh và khác biệt ở nhóm LNMTC nặng so với nhóm khác. Tác giả ghi nhận ngưỡng CA-125 14,70 UI/ml phù hợp với test chẩn đoán LNMTC phúc mạc.
Các phân tích tổng quan mới đây cho thấy vai trò của CA-125 trong chẩn đoán LNMTC phúc mạc nhất là giai đoạn nặng của bệnh, ít có vai trò trong chẩn đoán ở mức độ nhẹ với độ nhạy rất thấp (dưới 50%) [1], khi kết hợp với các chỉ số sinh học khác thì cho giá trị chẩn đoán cao hơn [5].
Bảng 4. Nồng độ CA-125 trung bình của nhóm LNMTC phúc mạc với nhóm chứng của tác giả khác.
|
Nghiên cứu |
Saghar [6] (trung bình ± độ lệch chuẩn) |
Kurdoglu [4] (trung bình ± độ lệch chuẩn) |
|
Không LNMTC (nhóm chứng) |
12,64 ± 6,87 |
15,92 ± 9,10 |
|
Độ I (tối thiểu) |
13,06 ± 5,35 |
23,56 ± 16,94 |
|
Độ II (nhẹ) |
21,24 ± 11,78 |
41,02 ± 46,26 |
|
Độ III (vừa) |
40,97 ± 25,46 |
64,83 ± 126,76 |
|
Độ IV (nặng) |
71,72 ± 30,24 |
80,86 ± 66,56 |
KẾT LUẬN
Có mối liên quan giữa nồng độ CA-125 huyết thanh với lạc tuyến trong cơ tử cung, LNMTC phúc mạc nhất là các giai đoạn nặng của bệnh.
Ngưỡng CA-125 16,06 và 20,86 UI/ml thích hợp cho test tầm soát LNMTC phúc mạc và lạc tuyến cơ tử cung với diện tích dưới đường cong ROC phù hợp.
TÀI LIỆU THAM KHẢO
1. A. Mihalyi, O. G. (2010). Non-invasive diagnosis of endometriosis based on a combined analysis of six plasma biomarkers. Human Reproduction, 25(3), 654-664.
2. ESHRE, T. (2008). The ESHRE Guideline on Endometriosis.
3. Juan A, G. V. (2009). Endometriosis and assisted reproductive technology. 381-385.
4. Kurdoglu. (2009). Comparison of the clinical value of CA 19-9 versus CA 125 for the diagnosis of endometriosis. Fertility and Sterility, 92(5), 1761-1763.
5. May, K. E. (2010). Peripheral biomarkers of endometriosis: a systematic revier. Human Reproduction update, 00(0), 1-24.
6. Saghar Salehpour. (2009). The correlation between serum and peritoneal fluid CA125 level in Women with pelvic endometriosis. International Journal of Fertility and Sterility, 3(1), 29-34.









