Thai ngoài tử cung chiếm khoảng 1,5 – 2% thai kỳ. Kể từ khi siêu âm ra đời và phát triển, thuật ngữ “túi thai giả” “pseudogestational sac” được sử dụng để mô tả lớp dịch tụ trong lòng tử cung ở những trường hợp thai ngoài tử cung gây nhầm lẫn với túi thai thật nằm trong tử cung. Vì vậy để xác định tỷ lệ tụ dịch trong lòng tử cung ở những trường hợp thai ngoài tử cung và những đặc tính của lớp dịch biểu hiện trên siêu âm như thế nào, Carol B. Benson và cộng sự đã làm một nghiên cứu trên 229 đối tượng bệnh nhân được mổ nội soi chẩn đoán xác định thai ngoài tử cung, những bệnh nhân này được khảo sát siêu âm ngã âm đạo trước mổ nghi ngờ thai ngoài tử cung. Tỷ lệ có ứ dịch lòng tử cung ở những trường hợp thai ngoài tử cung trong nghiên cứu là 16,6%. Nghiên cứu mô tả hình ảnh lớp dịch lòng tử cung trên siêu âm được chia thành 2 type:
Type A: lớp dịch cho hình ảnh có đường viền tăng sáng, có phản âm bên trong lớp dịch. Thường gặp hình ảnh này nhất trên siêu âm trong những trường hợp thai ngoài tử cung (>70% trường hợp thai ngoài trong nghiên cứu này).

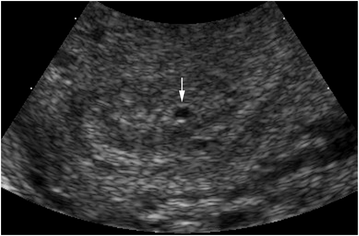
Type B: lớp dịch lòng tử cung có hình ảnh là nang echo trống, bờ đều đặn. Hình ảnh này gặp ít hơn hình ảnh type A (tỷ lệ < 25%).

Vị trí của dịch lòng tử cung cũng được ghi nhận trong nghiên cứu này. 55% lớp dịch trong lòng tử cung ở những trường hợp thai ngoài nằm chính giữa lòng tử cung; 18% lớp dịch quan sát thấy ở lớp màng rụng và 27% lớp dịch nằm ở vị trí không rõ ràng trong lòng tử cung.
Nghiên cứu cũng ghi nhận tỷ lệ thai ngoài tử cung có hình ảnh ứ dịch lòng tử cung type B nhưng không kèm theo khối echo hỗn hợp hay hình ảnh túi thai nào ở cạnh buồng trứng là 0,9%. Vì vậy với tỷ lệ thai ngoài tử cung trong dân số chung là 2%, nghiên cứu đưa ra một tỷ lệ ước tính như sau: ở một bệnh nhân có xét nghiệm thai dương tính, siêu âm không ghi nhận khối echo hỗn hợp nào ở cạnh buồng trứng và kèm theo là hình ảnh cấu trúc dịch lòng tử cung type B (echo trống, bờ đều đặn) thì khả năng thai ngoài tử cung là 0,9%x2% # 0,02%, khả năng thai nằm trong tử cung khá cao 99,98%.
Kết luận của nghiên cứu: tỷ lệ có ứ dịch lòng tử cung ở những trường hợp thai ngoài tử cung 16,6%. Siêu âm ngả âm đạo giúp phát hiện có thai, chẩn đoán phân biệt thai ngoài tử cung và thai trong tử cung có thể dựa vào hình dạng, vị trí, cấu trúc bên trong và đường viền của lớp dịch trong lòng tử cung.
BS PHAN THỊ NGỌC MINH
Nguồn: Intrauterine Fluid With Ectopic Pregnancy, Carol B. Benson, trong Journal of Ultrasound in Medicine March 2013, Volumn 32, No 3, Page 389-393.