Võ Tấn Đức, Huỳnh Phượng Hải
Bộ môn Chẩn đoán hình ảnh, Đại học Y Dược TPHCM
TÓM TẮT
Lạc nội mạc tử cung (endometriosis) là bệnh lý phụ khoa thường gặp ở những năm đầu tiên trong giai đoạn sinh sản củan gười phụ nữ. Bệnh được định nghĩa do nội mạc tử cung có chức năng nằm ở những vị trí bên ngoài tử cung. Trong khi đó, lạc tuyến trong cơ tử cung (adenomyosis) là bệnh lành tính của tử cung, được mô tả là sự xâm lấn lành tính của nội mạc vào cơ tử cung và phì đại cơ trơn lân cận. Triệu chứng lâm sang không đặc hiệu, thường gặp là đau bụng kinh, rong kinh, vô sinh, khối u phần phụ và xuất huyết âm đạo bất thường nhưng không được chẩn đoán rõ ràng. Ngày nay, chẩn đoán hình ảnh giữ vai trò quan trọng vì cho phép chẩn đoán tiền phẫu chính xác nhằm tránh được các thủ thuật xâm lấn cho người bệnh. Trong các kỹ thuật hình ảnh, cộng hưởng từ là phương pháp không xâm lấn và có độ chính xác cao để chẩn đoán lạc nội mạc tử cung và lạc tuyến trong cơ, phân biệt chúng với các bênh lý phụ khoa khác, từ đó có thể lên kế hoạch thích hợp cho việc điều trị.
GIỚITHIỆU
Lạc nội mạc tử cung (LNMTC) (edometriosis) là sự hiện diện của mô nội mạc có chức năng nằm bên ngoài tử cung. Nội mạc lạc chỗ chịu sự chi phối của hormone theo chu kỳ kinh giống như nội mạc tử cung. Điều này khiến cho bệnh nhân bị xuất huyết theo chu kỳ kinh, hình thành nang lạc nội mạc, tràn máu ổ bụng, tiểu máu, đi cầu ra máu, tràn máu hoặc tràn khí màng phổi, ho ra máu, xuất huyết dưới nhện…tùy thuộc vào vịtrí của nội mạc lạc chỗ.
Về mặt thuật ngữ, trước đây người ta chia LNMTC thành LNMTC trong tử cung (endometriosis interna) và LNMTC ngoài tử cung (endometriosisexterna).LNMTC trong tử cung là tình trạng lạc nội mạc trong cơ tử cung, ngày nay thuật ngữ này đã được thay thế bằng từ bệnh cơ tuyến hay lạc tuyến trong cơ (adenomyosis). LNMTC ngoài tử cung là tình trạng lạc nội mạc ở những vị trí khác, ngày nay thuật ngữ này được dùng đơn giản là LNMTC (endometriosis).
Về mặt chẩn đoán, nội soi được xem là tiêu chuẩn vàng để chẩn đoán lạc LNMTC khi hiện diện các nốt đen hoặc xanh nâu do xuất huyết tái đi tái lại và lắng đọng hemosiderine trên bề mặt phúc mạc của các cấu trúc quanh tử cung. Tuy nhiên vai trò của nội soi có thể bị giới hạn do tình trạng dính ở vùng chậu hoặc những tổn thương nằm ở các khoang dưới phúc mạc. Các kỹ thuật chẩn đoán hình ảnh hiện nay, đặc biệt là cộng hưởng từ (CHT), đã có thể chẩn đoán tiền phẫu chính xác nhằm tránh những thủ thuật xâm lấn không cần thiết cho bệnh nhân. Trong phạm vi bài viết này, chúng tôi chủ yếu mô tả hình ảnh CHT của LNMTC ở vùng chậu và lạc tuyến trong cơ tử cung (LTTCTC).
LẠC NỘI MẠC TỬ CUNG VÙNG CHẬU
Vị trí
Lạc nội mạc tử cung thường gặp ở buồng trứng và phúc mạc vùng chậu

Hình1.Các vị trí thường gặp của lạc nội mạc vùng chậu:
tổn thường hình tròn màu đen chỉ nang lạc nội mạc ở buồng trứng(P);
các tổn thương có đường bờ bất thường chỉ lạc nội mạc thâm nhiễm sâu
Hình ảnh cộng hưởng từ
CHT là kỹ thuật không xâm lấn, có độ phân giải mô mềm cao, khảo sát toàn bộ vùng chậu trên nhiều mặt phẳng, cho phép nhận diện rõ cấu trúc giải phẫu vùng chậu. Kỹ thuật này dễ dàng nhận diện được những tổn thương có tín hiệu xuất huyết, do đó có thể mô tả đầy đủ các đặc điểm của nang lạc nội mạc ở buồng trứng cũng như đánh giá được sự sắp xếp của các nốt lạc nội mạc sâu. Ngoài ra, CHT còn có thể đánh giá mức độ dính ở vùng chậu và sự liên quan của tổn thương với niệu quản, để giúp đánh giá một cách toàn diện trước khi phẫu thuật. Các chuỗi xung được đề nghị khi chụp CHT chẩn đoán LNMTC:
Axial, Coronal, Sagittal T2W
AxialT1W
Axial, Sagittal T1 fat-sat
Hình ảnh CHT lệ thuộc vào thành phần của tổn thương lạc nội mạc. Thành phần của tổn thương lạc nội mạc chủ yếu bao gồm protein và các sản phẩm thoái hóa của máu, do đó các tổn thương thường có tín hiệu thấp đến cao trên T1W và T2W. Trong một vài trường hợp, các ổ tổn thương có tín hiệu cao trên T2W do sự dãn rộng của các tuyến nội mạc. Nếu trong tổn thương có xuất huyết, tín hiệu sẽ thay đổi tùy theo giai đoạn, xuất huyết cấp sẽ có tín hiệu thấp trên T1W, T2W; giai đoạn bán cấp sẽ có tín hiệu cao trên T1W, T1W xóa mỡ, thấp hoặc cao trên T2W.
Riêng đối với endometrima, chuỗi xung T1W xóa mỡ đã làm tăng giá trị của CHT trong phân biệt giữa nang LNMTC ở buồng trứng với những u buồng trứng có chứa mỡ như u quái. Hình ảnh CHT của nang LNMTC là hiện diện một hay nhiều khối trong buồng trứng với tín hiệu cao trên T1W và T1 xóa mỡ. Trên T2W có tín hiệu thay đổi từ thấp (còn gọi là shading) đến trung bình hoặc tín hiệu cao, điều này là kết quả của nồng độ protein và sắt cao bởi xuất huyết nhiều lần trong nang LNMTC. Thuốc tương phản không giúp ích nhiều cho chẩn đoán nhưng có thể hữu ích trong những trường hợp nghi ngờ chuyển dạng ác tính.
Các dạng lạc nội mạc tử cung
LNMTC chủ yếu có 3 dạng: lạc nội mạc nông (superficial endometrial implants), nang lạc nội mạc ở buồng trứng (ovarian endometrioma) và lạc nội mạc thâm nhiễm sâu (deep infiltratingendometriosis).
Nang lạc nội mạc buồng trứng

Hình 2. Nang lạc nội mạc buồng trứng (P)
Lạc nội mạc nông: còn được gọi là hội chứng Sampson, là hiện diện các mảng nằm nông rải rác trên bề mặt phúc mạc, buồng trứng và dây chằng tử cung. Cả siêu âm (SA) ngả âm đạo lẫn CHT đều không nhạy để tầm soát dạng tổn thương này. Những bệnh nhân này ít khi có triệu chứng và ít có thay đổi cấu trúc vùng chậu. TrênCHT, những tổn thương này thường không thấy vì chúng rất nhỏ. Chỉ có thể xác định được tổn thương khi chúng có kích thước
>5mm hoặc khi bên trong có xuất huyết, tín hiệu cao trên T1W, thấp trênT2W.

Hình 3. Coronal T2W và T1FS: các nốt lạc nội mạc ở bề mặt buồng trứng (P)
Lạc nội mạc tử cung thâm nhiễm sâu: còn gọi là hội chứng Cullen, được định nghĩa là những mảnh mô nội mạc xuyên vào khoang sau phúc mạc hoặc thành của các cơ quan vùng chậu với độ xuyên sâu ít nhất là 5mm.Triệu chứng lâm sang thường nặng, lien quan đến độ sâu của sự xâm lấn của nội mạc lạc chỗ. CHT được dùng để chẩn đoán và đánh giá mức độ xâm lấn của tổn thương.

Sagittal T2W: LNMTC xâm lấn thành trước trực tràng(mũi tên đỏ số 1)
và bang quang (mũi tên xanh số 2)
Dạng này ở vùng chậu thường xảy ra ở túi cùng Douglas gây dính và tạo sàn phúc mạc giả bên trên nên thường dễ bị bỏ sót khi nội soi ổ bụng và một phần do dính của thành trước trực tràng. Hiện tượng này cũng có thể làm đánh giá không chính xác các tổn thương ở ngoài phúc mạc như LNMTC ở vách trực tràng – âm đạo cũng có thể nhầm với vòm âm đạo sau. Các vấn đề này có thể nhận biết tốt trên hình CHT bởi độ phân giải mô mềm cao, phân biệt rõ các cấu trúc giải phẫu vùng chậu.

Endometriosis ở cùng đồ sau và thâm nhiễm thành trước trực tràng

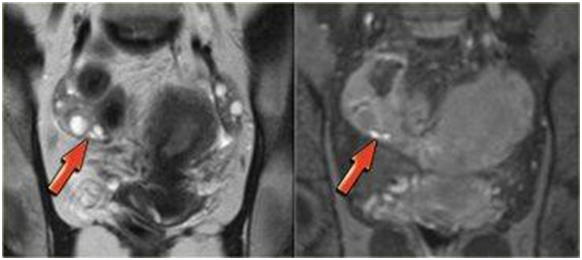
Hình 4.Lạc nội mạc tử cung ở bang quang

Hình 5. Lạc nội mạc tử cung ở dây chằng tròn hai bên, gần chỗ cắm vào tử cung

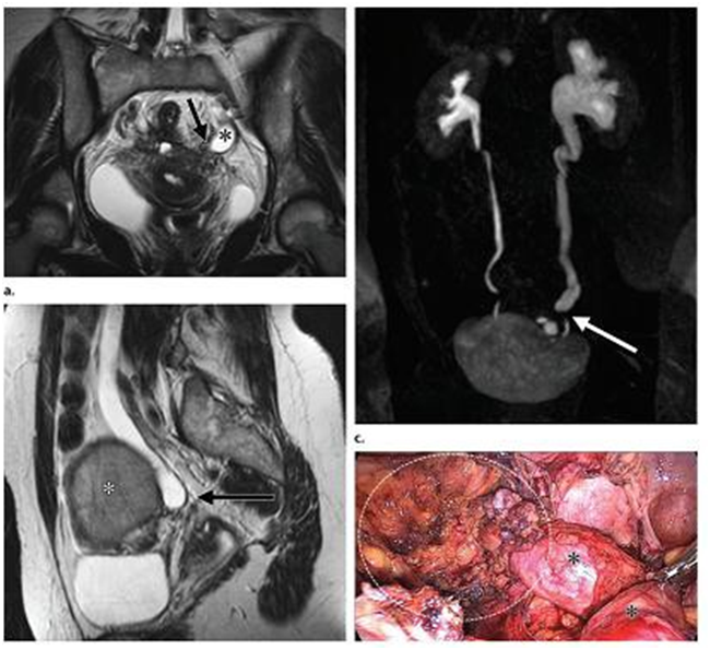
Hình 6. Lạc nội mạc ở sau cổ tử cung

Hình7. Lạc nội mạc quanh cổ tử cung
với hẹp niệu quản trái kèm nang lạc nội mạc buồng trứng trái

Hình 8. Lạc nội mạc tử cung trong thành bụng
BỆNH CƠ TUYẾN HAY LẠC TUYẾN TRONG CƠ TỬ CUNG
CHT cũng là kỹ thuật không xâm lấn có thể chẩn đoán lạc tuyến trong cơ tử cung (LTTCTC) với độ nhạy (78-88%) và độ đặc hiệu (67-93%) cao. Kỹ thuật này tốt hơn SA ngả âm đạo không những trong mô tả vị trí và độ lan rộng của tổn thương mà còn có ích trong phân biệt LTTCTC với u xơ tử cung (UXTC) trong những trường hợp khó. Trên CHT, LTTCTC có biểu hiện dày lan tỏa hay khu trú hoặc từng đoạn của vùng chuyển tiếp hay vùng nối (junctionalzone) của cơ tử cung, tạo thành vùng tín hiệu thấp giới hạn không rõ, thỉnh thoảng bên trong có các ổ nhỏ tín hiệu cao trên T2W. Tiêu chuẩn chẩn đoán trên CHT khi vùng nối dày khu trú hay lan tỏa >12mm, thường ở thành sau, không ở CTC, hiếm khi không tiếp xúc với vùng nối, mất ranh giới với nội mạc, hình dạng vô định, không tạo hiệu ứng khối u và ít khi gây biến đổi đường bờ nội mạc. Về mô học, vùng tín hiệu thấp tương ứng các cơ trơn bị phì đại và cá cổ tín hiệu cao trên T2W tương ứng với nội mạc lạc chỗ và giãn thành các nang. Khi hành kinh, các nội mạc lạc chỗ này xuất huyết thì sẽ có tín hiệu cao trên T1W và T1W xóa mỡ.

Hình 9. Vùng chuyển tiếp của tử cung trên T2W (mũi tên ngắn)

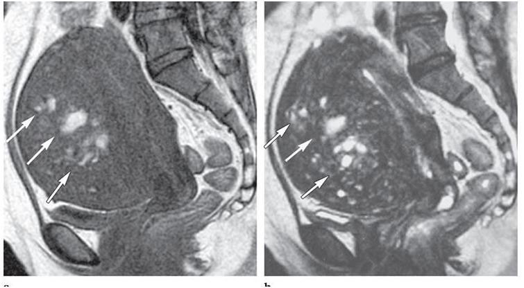
Hình10.Lạc tuyến trong cơ tử cung ở thành trước tử cung
SagittalT1W: tử cung kích thước lớn, tín hiệu đồng nhất.
SagittalT2W: tổn thương tín hiệu thấp, giới hạn không rõ ở thành trước tử cung với vô số ổ nhỏ tín hiệu cao bên trong

Hình11. LTTCTC ở thành trước tử cungvới các ổ xuất huyết bên trong
Các dạng ít gặp:
U cơ tuyến (Adenomyoma): được định nghĩa là dạng LTTCTC khu trú, giới hạn rõ. Tổn thương thường có dạng khối polyp lồng vào long tử cung.Ít gặp hơn, có thể có dạng một khối trong cơ hay một khối dưới thanh mạc.

Hình12. U cơ tuyến trong cơ thành sau tử cung
Nang cơ tuyến: là một biến thể cực kỳ hiếm gặp của LTTCTC, do xuất huyết nghiêm trọng của mô nội mạc lạc chỗ.Tổn thương là một nang xuất huyết lớn, có thể toàn bộ nằm trong cơ, dưới thanh mạc hay dưới niêm mạc.

Hình13. Adenomyotic cyst ở dưới thanh mạc thành sau tửcung,
tín hiệu cao trênT1W, T2W

Hình14. Nang cơ tuyến ở dưới niêm mạc thành sau tử cung,
tín hiệu cao trên T1W, T2W
KẾT LUẬN
CHT là kỹ thuật không xâm lấn để chẩn đoán LNMTC và LTTCTC, có thể cho biết vị trí và mức độ lan rộng của tổn thương, giúp đánh giá toàn diện trước khi phẫu thuật.
TÀI LIỆU THAM KHẢO
1. ChiaraDF,Mdetal.,Deepretroperitonealpelvicendometriosis: MRI magingappearance with laparoscopic correlation, Radiographics, 2006;26:1705-1718.
2. LucianaPC, MR Imaging Findings of Adenomyosis: Correlationwith His-topathologic Features and Diagnostic Pitfalls, Radiographics, 2011; 31:E77-E100.
3. KenTamai,etal., MRI maging Findingsof Adenomyosis: Correlationwith His-topathologic
Features and Diagnostic Pitfalls, Radiographics, 2005; 25:21-40.
4. Jan Hein van Waesberghe, etal., Endometriosis-MRI, radiology assistants, abdomen.
5. Paula J Woodward, Md et al., Endometriosis: Radiologic-Pathologic correlation, Radiographics, 2001; 21:193-216.