CNSH. Khổng Tiết Mây Như, Bs. Lý Thiện Trung – IVFQA
Quá trình hình thành nang noãn bắt đầu từ tuần thứ 5 của thai kỳ, các tế bào mầm nguyên thủy bắt đầu di chuyển đến gờ sinh dục (cấu trúc sẽ phát triển thành buồng trứng). Các nguyên bào noãn (oogonia) tăng sinh thông qua quá trình nguyên phân. Trong giai đoạn phôi thai, các tế bào mầm này bước vào quá trình giảm phân, nhưng bị ngưng lại tại kỳ đầu I của giảm phân. Các noãn bào được bao quanh bởi các tế bào hạt (granulosa cells - GCs), tạo thành quần thể nang nguyên thủy “nghỉ” hoặc “bất hoạt”, thường tồn tại dưới dạng các cụm nang. Các nang nguyên thủy có ba kết cục chính là duy trì trạng thái bất hoạt, được kích hoạt phát triển, hoặc thoái triển theo hướng chết tế bào theo chương trình. Quá trình phát triển nang noãn (folliculogenesis) nhìn chung được phân thành hai giai đoạn: giai đoạn không phụ thuộc vào gonadotropin và giai đoạn phụ thuộc vào gonadotropin. Hệ thống phân loại nang noãn người được sử dụng phổ biến nhất cho đến nay là Gougeon 1986, cung cấp mô hình phát triển nang phôi đến nang rụng dựa trên quan sát kính hiển vi ánh sáng trên mẫu mô buồng trứng người. Hệ thống này phân thành 4 cấp bậc của nang, bao gồm nang nguyên thủy (primordial), sơ cấp (primary), thứ cấp (secondary/pre-antral), có hốc (antral), và nang tiền phóng noãn (Graafian). Phân loại này đã trải qua gần 40 năm kể từ ngày công bố, thường bị chỉnh sửa và diễn giải khác nhau giữa các nghiên cứu. Một số giai đoạn nang trung gian chưa được mô tả đầy đủ, dẫn đến khoảng trống trong phân loại và dễ gây ra sự đánh giá chủ quan. Vì vậy, hệ thống này vẫn còn nhiều mặt giới hạn vì phân loại dựa trên hình thái mô học nhuộm Hematoxylin và Eosin (HE), không có sự thống nhất về hướng lát cắt mô hoặc số lượng lát cắt được sử dụng trong các đánh giá. Vẫn còn tồn tại nhiều hệ thống phân loại giai đoạn nang noãn khác nhau, và hình thái nang có sự khác biệt đáng kể giữa các loài động vật có vú. Hơn nữa, các nang nguyên thủy thường tồn tại thành cụm và phân bố không đồng đều trong buồng trứng, thậm chí trong cả vùng vỏ buồng trứng—đặc biệt ở phụ nữ trong độ tuổi sinh sản muộn. Các giai đoạn nang noãn muộn xuất hiện rất thưa thớt ở người. Do đó, viện y tế quốc gia Hoa Kỳ về sức khỏe trẻ em và phát triển con người (National Institute of Child Health and Human Development - NICHD) đã tổ chức chuỗi hội thảo chuyên đề vào năm 2021 nhằm xây dựng hệ thống phân loại chính xác hơn, bổ sung các giai đoạn kích hoạt sớm, đề xuất phương pháp tính mật độ nang chuẩn hóa và xem xét ảnh hưởng của kỹ thuật xử lý mô.
Hệ thống phân loại hình thái nang noãn buồng trứng người: chia nang tiền hốc (pre-antral follicle) thành 6 giai đoạn và nang có hốc (antral follicle) thành 5 giai đoạn cụ thể.
-Nang tiền hốc: có cấu tạo gồm màng đáy (basal lamina) cần được bảo tồn nguyên vẹn, GCs phân bố đều theo chu vi xung quanh noãn bào; và noãn bào có bào tương đồng nhất, không chứa không bào, chất nhiễm sắc cô đặc ở trung tâm và không có sự hiện diện của thể nhân vỡ (pyknotic bodies) (hình A-F).

|
Hình |
Các giai đoạn |
Mô Tả |
Nang |
Noãn |
|
A |
Nguyên thủy (Primordial) |
Một lớp tế bào hạt dẹt (<10GCs) |
40-44µm |
19-35µm |
|
B |
Nguyên thủy chuyển tiếp (Transitional primordial) |
Hỗn hợp tế bào hạt dẹt và hình khối |
44-46µm |
34-38µm |
|
C |
Sơ cấp (Primary) |
Một lớp tế bào hạt hình khối (10-40GCs) |
41-100µm |
29-42µm |
|
D |
Sơ cấp chuyển tiếp (Transitional Primary) |
Kết hợp giữa lớp đơn và lớp kép tế bào hình khối (bắt đầu thấy màng trong suốt và lớp vỏ) |
||
|
E |
Thứ cấp (Secondary) |
2-3 lớp tế bào hạt hình khối cùng với lớp vỏ trong |
56-200µm |
35-55µm |
|
F |
Đa lớp (Multilayer) |
Trên 3 lớp tế bào hạt hình khối và có mặt các tế bào vỏ |
250-300µm |
100-120µm |
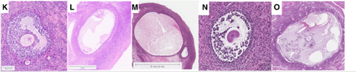
-Nang có hốc: có thể đo được bằng mô học hoặc siêu âm. Noãn bào được bao quanh bởi cụm tế bào cumulus trong một khoang chứa dịch (antrum), được bao bọc bởi nhiều lớp tế bào hạt thành (mural granulosa cells). Các lớp này được ngăn cách với lớp vỏ trong (theca interna) bởi màng đáy, và bên ngoài cùng là lớp vỏ ngoài (theca externa). Nang noãn người có khả năng tái khởi động quá trình giảm phân khi đạt đường kính từ 2–5 mm, với đường kính noãn bào vào khoảng 100–120 µm. Đường kính nang tối thiểu để có noãn trưởng thành có tiềm năng phát triển là khoảng 5–7 mm (hình K-O).

|
Hình |
Các giai đoạn |
Hốc nang (antrum diameter) |
|
K |
Hốc sớm (Early antral) |
<2mm |
|
L |
Trước chọn lọc (Preselection antral) |
2-5mm |
|
M |
Chọn lọc (Selection antral) |
6-9mm |
|
N |
Trội (Dominance antral) |
10-15mm |
|
O |
Tiền phóng noãn (Preovulatory antral) |
16-28mm |
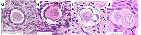
-Hình dạng nang bất thường (abnormal morphological features – AMF): được đánh giá ở giai đoạn nang tiền hốc, nang có hốc và một số các bất thường khác (hình G-J).

|
Nang tiền hốc |
Nang có hốc |
Hình dạng nang khác |
|
-AMF-o (G): noãn bào |
-Không bào |
-Đa noãn (J) |
Trong đó, nang đa noãn có từ 2 noãn bào trở lên được bao quanh bởi tế bào hạt dẹt hoặc hình khối, thường là các nang tế bào mầm (germ cell cysts) không bị vỡ hoàn toàn (not germinal vesicle break down – not GVBD). Nang hoàng thể hóa không rụng có noãn bị mắc kẹt trong cấu trúc giống hoàng thể kèm theo phức hợp cumulus-noãn phát triển trong các nang có hốc không rụng. Đối với nang không rõ phân loại là nang không phù hợp với bất kỳ định nghĩa nào đã nêu trên như nang nguyên thủy kích thước lớn được quan sát thấy ở buồng trứng tiền dậy thì hay nang đa lớp trông bình thường nhưng có noãn biến dạng. Ngoài ra, cụm tế bào hạt không kèm noãn là lát cắt tiếp tuyến (Tangential) cho thấy lát cắt chỉ đi qua rìa nang và không thể xác định được giai đoạn phát triển của nang.
-Hoàng thể (Corpus luteum – CL): có đường kính 1.5 cm và bao gồm lớp tế bào hạt hoàng thể (granulosa-lutein), vùng tế bào vỏ hoàng thể (theca-lutein), ranh giới bên trong là mô liên kết, và khoang trung tâm chứa dịch nang hoặc máu. Khi CL trải qua quá trình thoái triển hoàng thể (luteolysis) và mất khả năng sản xuất Progesterone sẽ xuất hiện các biến đổi thoái hóa như hình thành không bào trong bào tương, biểu hiện các dấu ấn đại thực bào, và cuối cùng dẫn đến chết tế bào theo chương trình (apoptosis) (hình P-T).

Chú thích: (P): hoàng thể. (Q): thể trắng (Corpus albicans). (R): lát cắt tiếp tuyến. (S): lát cắt tiếp tuyến của nang có hốc. (T): mao mạch (Capillary).
Hoàng thể được phân thành 3 loại là CL chu kỳ, CL thai kỳ và thể trắng tùy thuộc vào các giai đoạn tiến triển sinh lý khác nhau của buồng trứng sau phóng noãn. CL chu kỳ là các tế bào hạt lớn, nhân sáng, có thể có hốc trung tâm chứa máu hoặc dịch (do hiện tượng xuất huyết sau phóng noãn); tồn tại khoảng 2 tuần nếu không có sự thụ thai và sẽ thoái triển nếu không được duy trì bởi hCG; kích thước dao động từ 1.2-1.5 cm. Trong khi đó, CL thai kỳ có cấu trúc tương tự CL chu kỳ nhưng nhiều mạch máu hơn, với mô nhu đặc hơn do tiếp tục phát triển dưới tác động của hCG; duy trì hoạt động vượt quá 10 tuần thai đầu tiên, cho đến khi nhau thai đảm nhận chức năng nội tiết; kích thước lớn hơn thể vàng chu kỳ. Còn thể trắng là mô liên kết sợi dày đặc hình thành sau khi thể vàng thoái triển, không còn cấu trúc tuyến hay tế bào chế tiết hormone; có thể hiện diện từ vài tháng đến nhiều năm dưới dạng mô sẹo xơ trong buồng trứng; kích thước nhỏ, xơ hóa và không còn chức năng nội tiết.
Ngoài ra, các tác giả còn đưa vào và định nghĩa 2 dạng đặc biệt khác là nang xuất huyết và nang hoàng thể hóa không rụng (Luteinized unruptured follicle – LUF). Nang xuất huyết là khi một nang trưởng thành vỡ ra trong quá trình phóng noãn, và mạch máu lân cận làm đầy máu vào vùng theca interna hoặc vào hoàng thể - hiện tượng này được ghi nhận lâm sàng ở người. Nang hoàng thể hóa không rụng (LUF) có đỉnh LH, nồng độ Progesterone tăng nhưng nang trội không vỡ; trong nang vẫn chứa noãn bị “mắc kẹt” trong hốc nang chưa vỡ, kèm theo phức hợp cumulus – noãn phát triển và tế bào hạt đã hoàng thể hóa, được xem là biểu hiện của thất bại trong quá trình phóng noãn, được quan sát ở người trưởng thành cả trong điều kiện tự nhiên và sau khi có can thiệp điều trị.
TIÊU CHUẨN ĐẾM NANG NOÃN – TÍNH MẬT ĐỘ NANG NOÃN
Đến nay, vẫn chưa có tiêu chuẩn nào để đánh giá mật độ nang noãn và cần có hướng dẫn rõ ràng để so sánh các quần thể và nghiên cứu khác nhau. Để có được số lượng nang trên mỗi thể tích buồng trứng, quan trọng là không được đếm nang nhiều hơn 1 lần vì 1 số phần của nang lớn hơn sẽ xuất hiện ở nhiều vị trí đếm khác. Nhiều nghiên cứu cũng đếm nang người theo nhiều cách khác nhau để tránh đếm trùng như lát cắt 5mm – mỗi phần 5 hay mỗi phần 10 hay 12. Trong nghiên cứu này, NICHD khuyến cáo về tiêu chuẩn đếm nang thì việc đầu tiên là quan sát trên hình thái để phân loại nang rồi mới đếm nang – ưu tiên chủ yếu là nang có nhân noãn ở tất cả các giai đoạn từ tiền hốc đến có hốc. Đối với nang có hình thái bất thường sẽ có đếm riêng biệt. Nếu chỉ có 1 lát cắt thì đếm hết các noãn dù có nhân hay không nhân. Lưu ý là không đếm nang có lát cắt tiếp tuyến. Về cách đếm thì ưu tiên lựa chọn hàng đầu là đếm lát cắt nối tiếp, độ dày 5µm, đếm mỗi lát thứ 5 và chỉ tính các nang có thể quan sát được nhân noãn ở tất cả các giai đoạn; hoặc đếm ở các lát cách nhau tối thiểu >30µm tránh đếm trùng (đường kính tế bào của 1 noãn trong nang nguyên thủy là 19-35µm). Trong trường hợp nếu không thấy nhân noãn có cách đếm khác, cũng là lát cắt 5µm nhưng đếm mỗi lát thứ 10 – tối thiểu 3 lát, các lát cách nhau >50µm. Hướng dẫn có đưa ra một số lưu ý khi đưa các thông số này vào bài báo khoa học cần phải báo cáo chi tiết độ dày lát cắt, số lượng lát giữa các lần đếm và số lát được đếm trung bình cho mỗi bệnh nhân; nhằm đảm bảo tính chính xác trong việc tính mật độ nang noãn trung bình.
Công thức tính mật độ nang trung bình (Mean follicle density – MFD):
Tổng số nang là số nang noãn được quan sát và phân loại trên tất cả các lát cắt mô học. Thể tích mô được phân tích theo công thức:
Thể tích = diện tích lát cắt mô (mm2) x độ dày mỗi lát (mm) x số lát cắt
Độ dày lát cắt ảnh hưởng đến mật độ nang. Thông thường các mô cắt để đông lạnh bảo tồn sinh sản có độ dày đa dạng từ 1-5mm và các bài tổng quan thống kê báo cáo nhiều nhất là độ dày 1-2mm. Vì các nang phân bố không đều, nên để MFD được dự đoán chính xác hơn thì cần phải đếm nhiều lát cắt từ nhiều vị trí khác nhau. Nếu mẫu chứa phần lớn tủy buồng trứng thì sẽ không tính toàn bộ diện tích mô để tránh sai lệch trong tính toán mật độ nang.
CÁCH XỬ LÝ – CHUẨN BỊ MÔ
Nghiên cứu còn gợi ý một số chất cố định mô trước nhuộm. Chất được sử dụng rộng rãi là 10% NBF (neutral buffered formalin) dùng để chẩn đoán mô bệnh học khối u. Các lựa chọn thay thế khác để cố định mô và khi phân tích mẫu mô với các chất khác nhau thì dung dịch Bouin’s ít dùng vì tính độc có khả năng gây ung thư; 4% NBF + formalin trung tính pha loãng làm thu nhỏ và méo mó bào tương noãn; NBF + 5% acid acetic (Form-acetic) cải thiện hình thái nang; và 4% paraformaldehyde (PFA) và Davidson’s fixative (mDF) giữ được cấu trúc nang tốt hơn. Tuy nhiên, cần thêm các nghiên cứu so sánh các chất cố định này trên mô buồng trứng người để xác định phương pháp tối ưu cho mô học. Đối với chất nhuộm thì Hematoxylin (nhân tế bào) và Eosin (bào tương và các thành phần khác) luôn là lựa chọn ưu tiên nhất khi phân tích miễn dịch mô học. Một lưu ý là khi đánh giá mô buồng trứng bằng mô học thì rất khó để phân biệt các bất thường thực sự của nang noãn do tình trạng bệnh lý của bệnh nhân cùng những sai lệch gây ra bởi dung dịch cố định, quy trình xử lý mô, lát cắt, nhuộm màu, hoặc do kỹ thuật đông lạnh.
Nhìn chung, hệ thống phân loại này cũng có được một vài ý nghĩa làm sàng vì đánh giá chất lượng mô buồng trứng, đảm bảo tính nhất quán trong đánh giá hình thái nang, cung cấp thêm dữ liệu để tư vấn lâm sàng cho bệnh nhân. Bên cạnh đó, thông số về MFD có thể được sử dụng để dự đoán khả năng thành công và thời gian hoạt động của mô buồng trứng sau ghép, hoặc tác động đến quyết định về số lượng mô được cấy ghép trở lại cho bệnh nhân.
Tuy nhiên, hệ thống phân loại này vẫn còn một số mặt hạn chế vì khả năng đánh giá mô đòi hỏi phải có kỹ năng chuyên môn và cần có sự đồng thuận giữa các trung tâm nghiên cứu. Hơn nữa, nghiên cứu này chưa có dữ liệu khoa học đầy đủ, không nên sử dụng như công cụ dự đoán kết cục lâm sàng hay tiềm năng sinh sản. Mặt khác, sự biến thiên cá thể lớn giữa các bệnh nhân về cả mật độ và hình thái nang noãn, khiến việc khái quát hóa có thể gặp thách thức. Một số đặc điểm hình thái có thể thay đổi theo độ tuổi, nền tảng di truyền hoặc các điều kiện bệnh lý như hóa trị, xạ trị, hoặc các rối loạn liên quan đến buồng trứng. Dữ liệu trong tài liệu này chủ yếu đến từ mô buồng trứng của bệnh nhân được phẫu thuật cắt buồng trứng vì lý do y khoa (ví dụ như ung thư, rối loạn phát triển sinh dục, hay phụ nữ chuyển giới). Do đó, có thể không hoàn toàn phản ánh hình thái học ở phụ nữ khỏe mạnh trong dân số chung. Cần có thêm nghiên cứu để xác thực độ tin cậy và tính ứng dụng của bảng phân loại này trong các nhóm bệnh nhân khác.
Tóm lại, hệ thống phân loại NICHD 2025 là đồng thuận toàn cầu đầu tiên được đề xuất dựa trên hình thái mô học – chuẩn hóa về thuật ngữ, tiêu chí & cách áp dụng trong các lĩnh vực nghiên cứu, bảo tồn lâm sàng và ghép mô. Cung cấp một khuôn khổ đánh giá nhất quán về chất lượng mô buồng trứng, mật độ nang trung bình hỗ trợ tiên lượng thành công khi ghép mô, điều này giúp hỗ trợ tư vấn bệnh nhân về khả năng phục hồi chức năng buồng trứng. Thế nhưng các kết quả cũng chưa có đủ dữ liệu trên nhóm mô lành tính và cần cập nhật điều chỉnh thêm.
Tài liệu tham khảo
1. Cox E, Takov V. Embryology, Ovarian Follicle Development. 2023 Aug 14.
2. Orozco-Galindo BV, Sánchez-Ramírez B, González-Trevizo CL, Castro-Valenzuela B, Varela-Rodríguez L, Burrola-Barraza ME. Folliculogenesis: A Cellular Crosstalk Mechanism. Curr Issues Mol Biol. 2025 Feb 10;47(2):113.
3. Gougeon A. Dynamics of follicular growth in the human: a model from preliminary results. Hum Reprod. 1986 Feb;1(2):81-7.
4. Yano Maher JC, Zelinski MB, Oktay KH, Duncan FE, Segars JH, Lujan ME, Lou H, Yun BH, Hanfling SN, Schwartz LE, Laronda MM, Halvorson LM, O'Neill KE, Gomez-Lobo V. Classification system of human ovarian follicle morphology: recommendations of the National Institute of Child Health and Human Development - sponsored ovarian nomenclature workshop. Fertil Steril. 2025 May;123(5):761-778.
5. Monaco CF, Davis JS. Mechanisms of angioregression of the corpus luteum. Front Physiol. 2023 Sep 28;14:1254943. doi: 10.3389/fphys.2023.