BS. CKI. Phan Thị Ngọc Minh
Thời điểm
Thai 15-24 tuần.
Phương pháp đo
Chuẩn bị bệnh nhân
Bàng quang trống
Tư thế: sản phụ khoa (có thể kê gối ở mông hay nhấc mông cao lên)
Tiến hành đo
Zoom màn hình sao cho cổ tử cung chiếm ít nhất 50-70% của màn hình.
Không ấn mạnh đầu dò
Kỹ thuật đo độ dài CTC
- Chọn mặt cắt dọc qua kênh CTC sao cho thấy được biểu mô ống cổ tử cung (nhận biết bằng hình ảnh các tuyến của kênh CTC) và cả lỗ trong lẫn lỗ ngoài của cổ tử cung.
- Lỗ trong CTC tạo thành đỉnh một tam giác cân có hai cạnh là mép trên và mép dưới CTC nằm sát lỗ trong.
- Chiều dài kênh CTC: từ lỗ trong CTC (nơi kênh CTC tiếp xúc với túi ối) tới lỗ ngoài cổ tử cung.
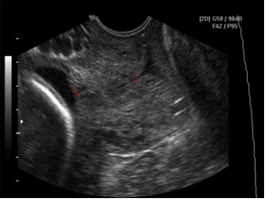
- Nếu cổ tử cung tương đối thẳng: đo straight distance (hình 6.1)
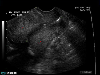
- Nếu kênh CTC cong: đo curve distance hay đo 2 đoạn straight distance rồi cộng lại (hình 6.2, 6.3)
- Đo ít nhất 3 lần và chiều dài kênh CTC tính bằng số nhỏ nhất
Cách đo 2 đoạn straight distance trong trường hợp CTC cong
Bước 1. Kẻ đường thẳng nối lỗ trong với lỗ ngoài CTC
Bước 2. Kẻ đường nối từ lỗ trong CTC tới điểm mà CTC bắt đầu uốn cong (điểm A)
Bước 3. Nối điểm A với lỗ ngoài CTC
Tam giác tạo bởi 3 đường kẻ trên có đỉnh là điểm A và có đường cao AB kẻ từ điểm A vuông góc xuống. Nếu khoảng cách AB >5mm thì phải đo kênh CTC bằng 2 đoạn thẳng rồi cộng lại

Hình 6.1. CTC thẳng (straight distance)

Hình 6.2. Cổ tử cung không thẳng (curve distance)

Hình 6.3. Cách đo chiều dài kênh CTC trong trường hợp CTC cong
Lỗ trong cổ tử cung
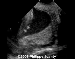
Lỗ trong CTC đóng chỉ cần khảo sát chiều dài kênh CTC
Lỗ trong CTC hở: đo đường kính lỗ hở (còn gọi là độ rộng phễu hở).
Lỗ trong CTC hở hình phễu sẽ cho các hình ảnh ở hình 4, 5, 6 và 7.
| Hình 6.4. Phễu hình chữ T | Hình 6.5. Phễu hình chữ Y |
![]() |
![]() |
| Hình 6.6. Phễu hình chữ V | Hình 6.7. Phễu hình chữ U |
![]() |
![]() |
Các trường hợp làm sai lệch kết quả đo
Ấn đầu dò mạnh
Đoạn dưới tử cung co làm lỗ trong CTC bị che khuất => sai lệch: kênh CTC đo dài hơn bình thường (hình 6.8)
Hình 6.8. Kênh CTC bị đo dài hơn bình thường

Đánh giá kết quả
Ở những phụ nữ nguy cơ sanh non thấp: chiều dài kênh CTC thường không thay đổi từ tuần 20-30 và có giá trị trung bình là 30mm, thay đổi từ 25mm đến 45mm ở bách phân vị thứ 10 và thứ 90.
Những phụ nữ có chiều dài kênh CTC <25mm có nguy cơ sanh non ở thai 35 tuần gấp 6 lần người có CTC >25mm.
Song thai: chiều dài kênh CTC ≤25mm ở thai 18 tuần và <22mm ở thai 24 tuần dự đoán khả năng sanh non ở song thai <28 tuần. Trong khi chiều dài kên CTC >35 mm ở thai 24 tuần có thể dự đoán khả năng song thai dưỡng được đến đủ tháng.



