Mọi sao chép, trích dẫn từ toàn bộ bài báo cáo phải được sự đồng ý của HOSREM hoặc của tác giả.
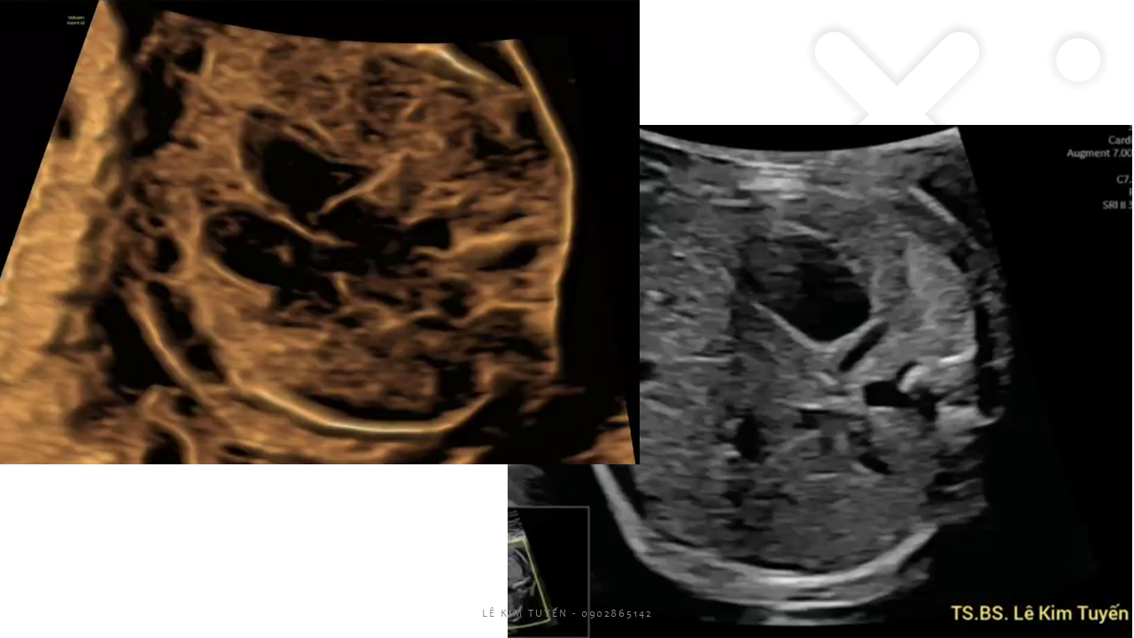
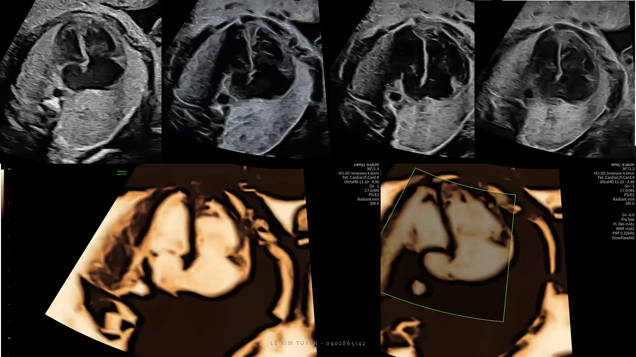
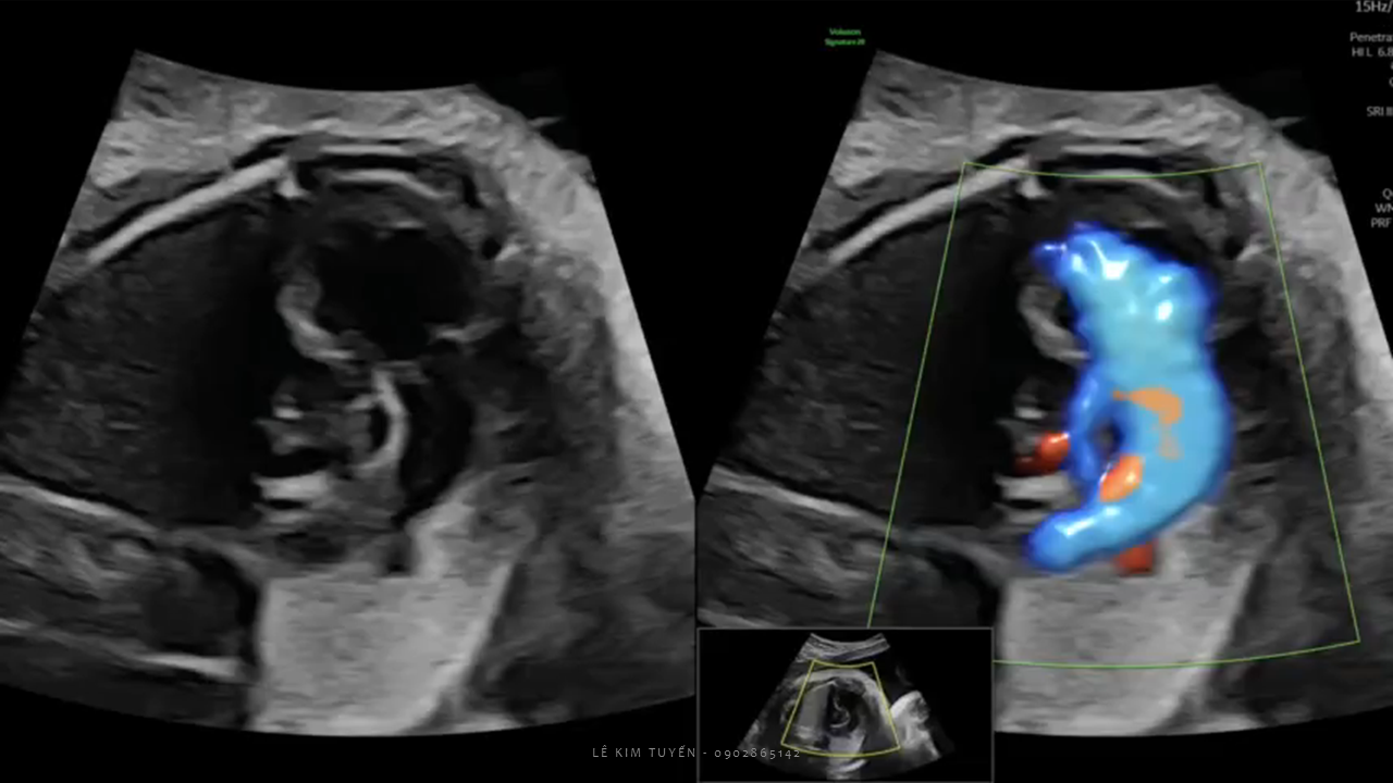
Siêu âm tim thai - Các kỹ thuật hiện đại
TS. BS. Lê Kim Tuyến
Bệnh viện Tim Tâm Đức
Trường Đại học Y khoa Phạm Ngọc Thạch
Bệnh viện Tim Tâm Đức
Trường Đại học Y khoa Phạm Ngọc Thạch