Khoa hiếm muộn BV Phụ sản quốc tế Sài Gòn - IVFMD SIH
Song thai là một thai kỳ nguy cơ cao và chuyên ngành hỗ trợ sinh sản (HTSS) hiện đại đã tối ưu nguy cơ bằng phương thức thực hành chuyển đơn phôi (Single embryo transfer - SET). Bên cạnh đó, giả thuyết về sự hình thành song thai cùng hợp tử (monozygotic-twin - MT) được đề xuất bởi Corner vào năm 1955 đã cho rằng số bánh nhau trong MT phụ thuộc vào thời điểm phôi phân chia: MT hai nhau (dichronic - DC) hai ối (diamniotic - DA) xuất hiện vào giai đoạn 3 ngày sau thụ tinh, còn MT một nhau DA xuất hiện giai đoạn 8 ngày sau thụ tinh. Tuy nhiên, một số báo cáo gần đây về các trường hợp xuất hiện DC DA sau SET đã thử thách giả thuyết trên. Và trường hợp trong báo cáo này cũng tương tự như vậy, nhưng có cung cấp thêm các bằng chứng về di truyền để xác nhận nguồn gốc của song thai DC DA là cùng một hợp tử.
Một cặp vợ chồng được chẩn đoán vô sinh nguyên phát 1,5 năm. Người vợ 26 tuổi, được chẩn đoán hội chứng buồng trứng đa nang. Người chồng 36 tuổi, được chẩn đoán thiểu tinh nặng theo tiêu chuẩn của WHO. Cặp vợ chồng này được lên kế hoạch điều trị tiêm tinh trùng vào bào tương noãn. Người vợ được kích thích buồng trứng theo phác đồ antagonist, liều 150 IU follitropin beta trong 10 ngày, trưởng thành noãn bằng GnRH agonist, chọc hút noãn sau 36 giờ, thu được 23 noãn và thụ tinh tạo thành 10 phôi nang. Tất cả các phôi được trữ đông bằng phương pháp thủy tinh hóa. Không thực hiện xét nghiệm di truyền tiền làm tổ.
Người vợ chuẩn bị nội mạc tử cung bằng phác đồ hormone thay thế sau khi điều trị điều hoà giảm bằng phác đồ GnRH agonist. Phôi nang có chất lượng tốt nhất (4AA theo tiêu chuẩn hình thái của Gardner) được rã đông, không áp dụng hỗ trợ phôi thoát màng. Sau 2 giờ rã đông, phôi nang bắt đầu thoát màng (hình 1). SET được thực hiện dưới hướng dẫn của siêu âm ngả bụng.
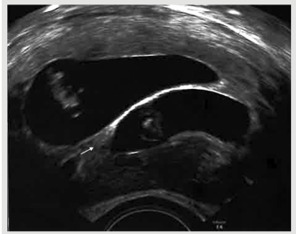
Sau chuyển phôi 15 ngày, nồng độ beta hCG huyết thanh là 2287 mU/mL. Ở tuổi thai 7 tuần, siêu âm ngả âm đạo xác nhận có 2 phôi thai với 2 khoang nguyên bào nuôi tách biệt, dựa trên dấu hiệu lamda của Hiệp hội siêu âm sản phụ khoa thế giới (ISOUG) (hình 2).
Thai kỳ kết thúc bằng sinh mổ ở tuổi thai 31 tuần do vỡ ối sớm và đón chào đời 2 bé trai khỏe mạnh cân nặng 1450g và 1830g. Phân tích đại thể của bánh nhau cho thấy có 2 bánh nhau riêng biệt nhưng dính liền vào nhau. Và để xác nhận tính chất cùng hợp tử, xét nghiệm giải trình tự các đoạn lặp ngắn (short tandem repeat - STR) đã được sử dụng. Kit xét nghiệm này sẽ khuếch đại đồng thời 15 vị trí STR và chỉ báo xác định giới tính amelogenin. Kết quả cho thấy kiểu gen của cả 2 bé trai được xác định tương đồng ở tất cả các vị trí, từ đó xác nhận tính chất cùng hợp tử của song thai này (hình 3).
Cơ chế hình thành MT sau điều trị HTSS vẫn còn nhiều giả thuyết nhưng có một số yếu tố nguy cơ đã được đề xuất. Các thao tác lên màng trong suốt, kỹ thuật hỗ trợ thoát màng và thủ thuật sinh thiết phôi được báo cáo là yếu tố làm gia tăng tần suất thai kỳ MT. Một số nghiên cứu khác lại đề xuất tác động của phác đồ kích thích buồng trứng, những thay đổi trong môi trường nuôi cấy và tuổi của mẹ là yếu tố nguy cơ. Tuy nhiên, chưa có nghiên cứu nào xác nhận được các mối liên quan này. Nhưng, hầu hết các nghiên cứu đều cho thấy yếu tố nguy cơ hằng định của MT sau điều trị HTSS là chuyển phôi nang. Giả thuyết của hiện tượng này là sự phơi nhiễm lâu với chất đệm nuôi cấy đã làm tăng tính nhạy cảm của phôi nang với các thao tác trong phòng thí nghiệm dẫn đến tăng tỉ lệ MT.
Sự phân tách của phôi trong MT DC được cho là xuất hiện trước giai đoạn hình thành phôi nang, trước khi có sự phát triển của ngoại bì phôi và khối tế bào bên trong. Nếu theo giả thuyết này thì chỉ có thể xảy ra tình huống có thai tự nhiên đồng thời với điều trị HTSS. Tuy nhiên, trường hợp trên đã được điều trị điều hòa giảm trong 3 tháng nên khả năng này không thể xảy ra. Và quan trọng nhất, trường hợp trên đã được xác nhận cùng hợp tử dựa vào xét nghiệm di truyền. Đây là điều mà các báo cáo trước đây còn thiếu.
Bên cạnh đó, dữ liệu từ Labo cho thấy trong khoảng 15 - 30 năm không hề quan sát thấy hiện tượng phân chia tự nhiên của phôi trước khi đạt đến giai đoạn phôi nang. Hơn thế nữa, tác giả Van Langendonckt, Behr và Milki đã có mô tả về hiện tượng phôi nang phân chia trong ống nghiệm thành 2 phôi nang riêng biệt với đầy đủ ngoại bì phôi và khối tế bào trong. Do đó, các giả thuyết khác cũng đã được đề xuất để thay thế cho giả thuyết trên. Tác giả Dirican đề xuất rằng song thai một hợp tử một nhau và DC đều phát triển từ một phôi nang với 2 khối tế bào bên trong và sự xác nhận số lượng bánh nhau sẽ xảy ra trong tử cung, phụ thuộc vào các hiện tượng trong quá trình làm tổ. Tác giả Herranz lại để xuất mô hình tất cả MT phát triển từ 2 dòng tế bào ngay từ lần phân chia đầu tiên và sự xác định số bánh nhau sẽ phụ thuộc vào trạng thái hòa lẫn của màng phân cách.
Từ kết quả và những bàn luận ở trên đã cho thấy việc xác định tính cùng hợp tử nếu chỉ dựa trên hình ảnh siêu âm là có thể bị nhầm lẫn, ví dụ trường hợp song thai DC cùng giới tính sau SET có thể bị giải thích nhầm thành 2 hợp tử. Và sự xác lập về hình ảnh bánh nhau trong MT có thể không chỉ giới hạn vào thời điểm phôi phân chia. Cần có thêm những nghiên cứu xác định cơ chế hình thành MT sau HTSS để từ đó làm giảm tỉ lệ đa thai.
Lược dịch từ: Semrl, Neli, et al. "Birth of monozygotic dichorionic twins after a single blastocyst embryo transfer: a case report of genetic determination of zygosity." F&S Reports 4.2 (2023): 231-234.

Hình 1: Phôi nang thoát màng trước chuyển phôi

Hình 2: Dấu hiệu Lamda trên siêu âm đầu dò âm đạo

Hình 3: Kết quả giải trình tự ADN của cặp song thai