Mọi sao chép, trích dẫn từ toàn bộ bài báo cáo phải được sự đồng ý của HOSREM hoặc của tác giả.
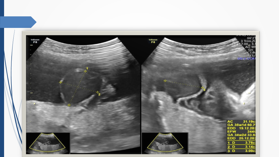
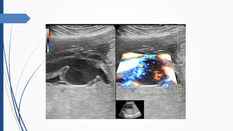
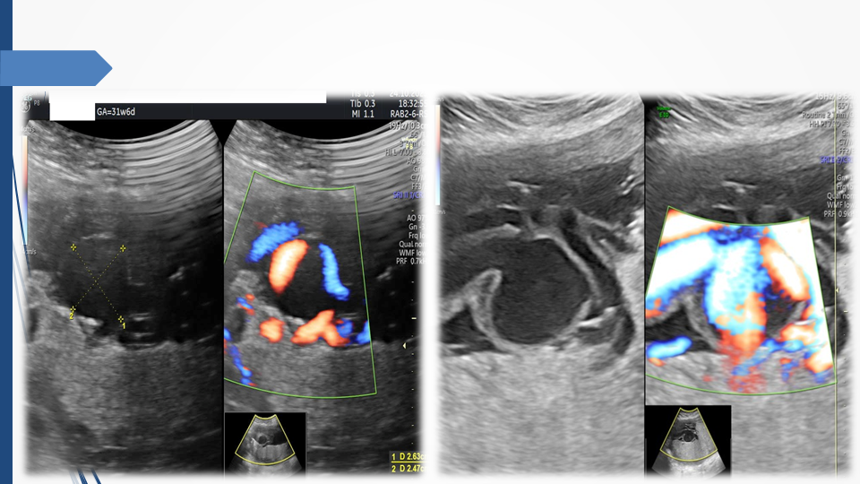
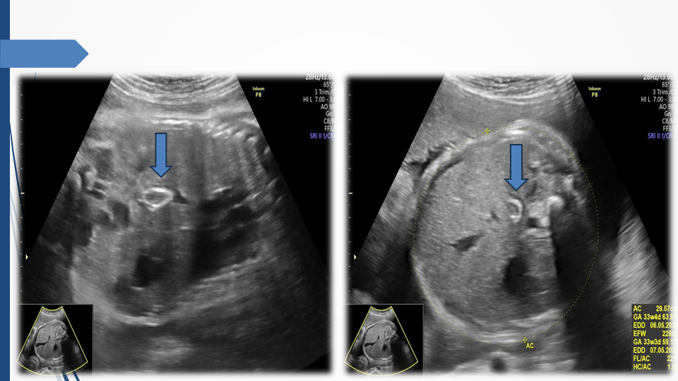
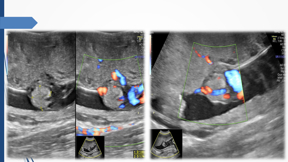
Tầm soát chủ động bất thường dây rốn và tuần hoàn thai để giảm thiểu nguy cơ thai lưu đột ngột - Báo cáo loạt ca hiếm gặp và khuyến nghị thực hành
BS. CKI Nguyễn Anh Tú
Bệnh viện Quốc Tế Sản Nhi Hải Phòng
Bệnh viện Quốc Tế Sản Nhi Hải Phòng