Dùng máy quay theo dõi sự phát triển của trứng đã thụ tinh có thể sẽ cung cấp những manh mối về những phôi có cơ hội sống tốt nhất sau khi được thụ tinh trong ống nghiệm và cấy vào cơ thể người mẹ, báo cáo của các nhà nghiên cứu Stanford.
Những hạn chế của IVF hiện nay
Với quá trình thụ tinh trong ống nghiệm, tinh trùng và trứng gặp nhau ở bên ngoài tử cung dưới sự hỗ trợ của các kỹ thuật viên.
Thường các kỹ thuật viên sẽ thực hiện việc ghép đôi trên 1 số lượng trứng và tinh trùng nhất định và theo dõi sự phát triển trong vòng 5 ngày.
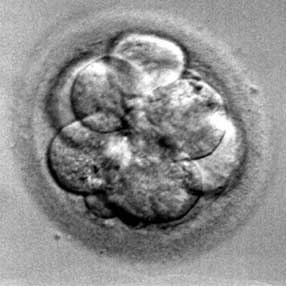
Sau đó, các phôi sẽ được kiểm tra dưới kính hiển vi, chỉ những phôi khỏe mạnh (phôi “béo tròn”, phân chia liên tục) mới được cấy ghép vào tử cung người mẹ. Quá trình chọn lọc này thường được thực hiện ở ngày thứ 5, khi phôi thai đã phát triển thành túi phôi - giai đoạn quan trọng cho cơ hội mang thai.
Tuy nhiên, quá trình tạo ra và lựa chọn phôi thai này vẫn chưa tốt khi 50-70% túi phôi được đưa vào cơ thể người mẹ không tiêp tục phát triển. Điều này chính là nguyên nhân vì sao tỉ lệ thụ thai trong ống nghiệm thành công cao nhất trên thế giới hiện chỉ là 35%.
“Tuy nhiên, nghiên cứu cho thấy phôi phát triển bên ngoài cơ thể của người mẹ có thể dễ bị thay đổi trong cấu trúc gen mà có thể làm tăng nguy cơ gặp phải các rắc rối liên quan đến sức khỏe về lâu dài”, tác giả nghiên cứu Renee Reijo Pera, Giám đốc Trung tâm Nhân phôi tế bào gốc Nghiên cứu và Giáo dục tại Viện Sinh học Stanford cho tế bào gốc và sức khỏe tái sinh ở Palo Alto, California, cho biết.
Phát hiện sự bất thường qua thời gian phân chia tế bào

Thời gian phân chia của các tế bào ở thời điểm hình thành phôi thai có thể
Trong nghiên cứu, các nhà nghiên cứu đã quay phim 242 phôi thai người (được lấy từ trứng và tinh trùng đông lạnh hiến tặng), trong đó, có 100 phôi thai được quay tới tận ngày thứ 5. Quá trình quay này cho thấy, để 1 hợp tử phân chia thành 2 tế bào cần 15 phút để hoàn tất quá trình của một tế bào phân chia thành hai tế bào, tế bào thứ ba xuất hiện trong khoảng 7,8-14,3 tiếng trong khi tế bào thứ 4 được tạo ra chỉ trong vòng 1 tiếng tiếp theo. Và khoảng thời gian xuất hiện của tế bào thứ 4 đóng vai trò quan trọng. Nếu tế bào thứ tư phát triển muộn hơn 1 tiếng thì có thể phôi thai sẽ gặp trục trặc trong tương lai.
Với các kỹ thuật hiện nay, các nhà phôi thai học đang tìm kiếm những đặc trưng thể chất của phôi ở ngày thứ 3 để quyết định xem liệu phôi có thể phát triển mạnh và có thể được giữ lại ở trong tử cung người mẹ hay không.
Kỹ thuật mới sử dụng công nghệ hình ảnh, thuật toán máy tính để quan sát và phân tích sự phát triển của phôi trong 3 ngày đầu tiên, có thể giúp những người thực hiện phương pháp này lựa chọn phôi tốt nhất từ giai đoạn sớm hơn.
Việc dự đoán sớm này sẽ giúp giảm áp lực cho các cặp vợ chồng và bác sĩ do cấy ghép phôi thai nhiều (có thể dẫn đến sinh đôi, sinh ba và nhiều hơn thế).
Theo nghiên cứu, việc dự đoán 1 bào thai khỏe mạnh trong giai đoạn từ một hợp tử phân chia thành nhiều tế bào sau 3 ngày đầu tiên có thể lên tới 93%.
Tuy nhiên, cần phải có nhiều nghiên cứu hơn nữa về vấn đề này vì chưa có 1 phôi thai nào trong nghiên cứu được cấy ghép thực sự vào cơ thể người mẹ. Điều này cũng có nghĩa chưa thể biết kỹ thuật này sẽ giúp cải thiện tỉ lệ thành công trong thụ tinh ống nghiệm lên bao nhiêu.
Nghiên cứu này được công bố trên số ra tháng 10 của tạp chí Nature Biotechnology.
Nguồn: Báo Dân Trí