Nguyễn Thành Như
Khoa Nam học bệnh viện Bình Dân TPHCM
TÓM TẮT
Mục tiêu: Tác giả trình bày kinh nghiệm ban đầu trong việc áp dụng kỹ thuật vi phẫu tích mô tinh hoàn để tìm tinh trùng trong những trường hợp vô tinh không bế tắc.
Đối tượng và phương pháp nghiên cứu: Nghiên cứu lâm sàng tiền cứu trên các bệnh nhân được chẩn đoán vô tinh do tinh hoàn không sinh tinh, đến điều trị tại bệnh viện Bình Dân trong thời gian từ 01/03/2010 đến 10/06/2010. Các bệnh nhân được phẫu thuật tìm tinh trùng trong mô tinh hoàn nhờ vi phẫu tích.
Kết quả: Tám trường hợp được tiến hành phẫu thuật. Tuổi trung bình của bệnh nhân là 37,5 ± 1,7 (31-46). Kết quả sinh thiết tinh hoàn trước mổ là 4 trường hợp (50%) sinh tinh nửa chừng, 3 trường hợp (37,5%) hội chứng toàn tế bào Sertoli, 1 trường hợp (12,5%) thoái hóa hyalin. Vi phẫu tích tìm thấy tinh trùng trưởng thành trong 1/8 trường hợp (12,5%).
Kết luận: Vi phẫu tích mô tinh hoàn đã mang lại một hy vọng mới cho bệnh nhân vô tinh không bế tắc.
Từ khóa: vô tinh không bế tắc, vi phẫu tích mô tinh hoàn.
MỞ ĐẦU
Đối với các trường hợp vô tinh không bế tắc, trước đây, trích tinh trùng (TT) bằng phẫu thuật mở kinh điển (TESE, testicular sperm extraction) thường thất bại. Tuy nhiên, với kỹ thuật vi phẫu tích mô tinh hoàn (microTESE, microdissection TESE), người ta có thể tìm thấy một vài ống sinh tinh có TT dùng để thụ tinh trong ống nghiệm (TTTON) 4.
Mục tiêu: Tác giả trình bày kinh nghiệm ban đầu trong việc tìm TT trong những trường hợp tinh hoàn không sinh tinh nhờ áp dụng vi phẫu tích mô tinh hoàn.
ĐỐI TƯỢNG VÀ PHƯƠNG PHÁP NGHIÊN CỨU
Nghiên cứu lâm sàng tiền cứu trên các bệnh nhân được chẩn đoán vô tinh do tinh hoàn không sinh tinh bằng sinh thiết tinh hoàn, đến điều trị tại bệnh viện Bình Dân trong thời gian từ 01/03/2010 đến 10/06/2010. Các bệnh nhân được phẫu thuật tìm TT trong mô tinh hoàn nhờ vi phẫu tích (hình 1 và hình 2). Ghi nhận kết quả sinh thiết tinh hoàn lần trước và lần phẫu thuật này, tình trạng tinh hoàn (thể tích, nồng độ testosterone và FSH trong máu). Các biến chứng sớm như tụ máu bìu, nhiễm trùng được ghi nhận.
Kỹ thuật mổ: bệnh nhân được gây tê tủy sống. Rạch da theo đường giữa bìu. Bao trắng mỗi bên tinh hoàn được rạch mở theo một đường ngang toàn bộ tinh hoàn, kèm theo một đường rạch dọc giữa (kiểu chữ thập), tránh các mạch máu, dưới kính lúp phóng đại 3x 5. Dùng kéo phẫu tích đầu nhọn bóc tách mô tinh hoàn dưới kính lúp phóng đại 3x, tìm những nơi mô tinh hoàn có những ống sinh tinh giãn rộng. Dùng kéo vi phẫu bóc tách, lấy mảnh mô có vài ống sinh tinh gởi giải phẫu bệnh tìm TT.
|
.... | ![]() |
|
Hình 1. Cắt xẻ bao trắng hình chữ thập để bộc lộ toàn bộ nhu mô tinh hoàn. |
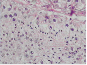
Hình 2. Sinh thiết tinh hoàn: ống sinh tinh với nhiều tinh trùng trưởng thành. |
KẾT QUẢ
Tám trường hợp được tiến hành phẫu thuật. Tuổi trung bình của bệnh nhân là 37,5 ± 1,7 tuổi (31-46).
Khoảng cách trung bình giữa hai lần sinh thiết là 31,8 ± 3,6 tháng (24-48 tháng). Thời gian phẫu thuật trung bình là 20 phút. Kết quả sinh thiết tinh hoàn trước mổ là 4 trường hợp (50%) sinh tinh nửa chừng, 3 trường hợp (37,5%) hội chứng toàn tế bào Sertoli, 1 trường hợp (12,5%) thoái hóa hyalin. Kết quả tìm TT là 1/8 trường hợp (12,5%) có TT trưởng thành. Kết quả sinh thiết tinh hoàn lần trước của bệnh nhân này là thoái hóa hyalin.
Thể tích trung bình của tinh hoàn phải là 8,5 ± 0,7 cc (6-10 cc). Thể tích trung bình của tinh hoàn trái là 8,0 ± 0,8 cc (6-10 cc). Bảy trường hợp có thể tích tinh hoàn trái và phải ngang nhau, chỉ có một trường hợp thể tích tinh hoàn phải là 10 cc, tinh hoàn trái là 6 cc.
Nồng độ FSH trung bình trong máu trước khi sinh thiết là 19,55 ± 4,35 mIU/ml (5-39,9). Nồng độ FSH của trường hợp tìm được TT là 29,1 mIU/ml. Nồng độ testosterone trung bình trong máu trước khi sinh thiết là 18,42 ± 5,23 nmol/ml (12,8 – 23,4).
Không ghi nhận biến chứng tụ máu bìu, nhiễm trùng vết mổ.
BÀN LUẬN
Sự sinh tinh xảy ra tại các ống sinh tinh, là một loạt các hiện tượng nhằm tạo ra các TT trưởng thành từ các nguyên bào tinh 4. Sinh thiết tinh hoàn là cơ sở giúp phân biệt giữa vô tinh bế tắc và vô tinh không bế tắc 1. Với sự tiến bộ của kỹ thuật tiêm tinh trùng vào bào tương trứng (ICSI, intracytoplasmic sperm injection), sinh thiết tinh hoàn còn được dùng để trích TT cho TTTON 1.
Khả năng trích được tinh trùng với kỹ thuật microTESE
Schlegel là người đầu tiên sử dụng microTESE (1999) 8 cho thấy với microTESE, 63% bệnh nhân trích được TT, trong khi với kỹ thuật sinh thiết tinh hoàn kinh điển nhiều chỗ thì khả năng tìm được TT chỉ là 45%. Không những thế, microTESE còn lấy rất ít mô tinh hoàn so với TESE. Các nghiên cứu khác cũng cho kết quả tương tự 10. Khả năng trích được TT của microTESE so với TESE kinh điển là 57% so với 32% theo Ramasamy 7. Cũng theo Ramasamy, những bệnh nhân được áp dụng microTESE ít có thay đổi trên cấu trúc tinh hoàn sau mổ (dựa trên siêu âm) và nồng độ testosterone sau mổ 7.
Tiên lượng khả năng trích được tinh trùng bằng microTESE
Phân loại mô học sinh tinh của Levin thường được sử dụng 3, dựa trên việc phân tích khả năng sinh tinh của mô tinh hoàn với năm mức độ như sau: xơ hóa các ống sinh tinh (thoái hóa hyalin), hội chứng toàn tế bào Sertoli, ngừng sinh tinh nửa chừng, giảm sinh tinh và sinh tinh bình thường. Trong trường hợp vô tinh không bế tắc với tinh hoàn teo nhỏ, nồng độ FSH cao, khả năng trích được TT lần lượt là 79%, 47% và 24% trong giảm sinh tinh (hypospermatogenesis), ngừng sinh tinh nửa chừng (maturation arrest) và hội chứng toàn tế bào Sertoli (Sertoli-cell-only syndrome), theo Seo 9. Trong nghiên cứu này, chúng tôi có một trường hợp trích được TT bằng microTESE và điều đặc biệt là trường hợp này sinh thiết tinh hoàn trước đó là thoái hóa hyalin. Trên đại thể, tinh hoàn của bệnh nhân toàn mô xơ trắng nhạt (phù hợp với kết quả giải phẫu bệnh là thoái hóa hyalin) và chỉ có vài điểm có mô màu vàng tươi, với các ống sinh tinh giãn to, có TT trưởng thành bên trong. Các TT này đã được sử dụng để thực hiện TTTON cho vợ bệnh nhân với kỹ thuật ICSI.
Ngoài kết quả sinh thiết tinh hoàn lần trước, nồng độ FSH không có ý nghĩa tiên lượng khả năng trích được tinh trùng, theo Ramasamy 6. Tác giả này chia bệnh nhân làm bốn nhóm theo nồng độ FSH: <15, 15-30, 31-45, và >45 mIU/mL, thì kết quả trích được TT lần lượt là: 51%, 60%, 67%, và 60%. Trong nghiên cứu này, bệnh nhân được tìm thấy TT có nồng độ FSH là 29,1 mIU/ml, cao hơn nồng độ FSH trung bình của nhóm là 19,55 ± 4,35 mIU/ml. Ngoài ra, cũng theo Ramasamy 6, nồng độ FSH cao không phải là một chống chỉ định của kỹ thuật microTESE.
Biến chứng
Không ghi nhận các biến chứng sớm như tụ máu bìu và nhiễm trùng vết mổ, hay các biến chứng nguy hiểm như tử vong, nguy tử…chứng tỏ phẫu thuật này là an toàn cho bệnh nhân.
Về biến chứng muộn, liệu việc sinh thiết tinh hoàn có làm giảm testosterone trong máu và sự hiện diện của kháng thể kháng tinh trùng sau mổ hay không ? Theo Komori và cộng sự 2 thì biến chứng này không xảy ra sau một năm theo dõi 13 bệnh nhân được thực hiện TESE và 12 bệnh nhân với microTESE. Do nghiên cứu này có thời gian theo dõi ngắn hạn nên chúng tôi chưa khảo sát được ảnh hưởng của microTESE với sự giảm testosterone sau mổ. Chúng tôi nghĩ rằng biến chứng này sẽ không xảy ra vì các mạch máu tinh hoàn được bảo toàn và số lượng mô tinh hoàn được lấy rất ít nhờ vi phẫu.
Kỹ thuật mổ: Schlegel (1999) sử dụng kính hiển vi phẫu thuật với độ phóng đại x20 khi phẫu tích mô tinh hoàn 8. Tuy nhiên, Mulhall và cộng sự (2005) cho thấy kính lúp phẫu thuật x3.5 có hiệu quả tương đương 5. Chúng tôi đồng ý với Mulhall, vì phẫu thuật này chỉ phẫu tích mô tinh hoàn, không thực hiện khâu nối nên kính lúp phẫu thuật đạt yêu cầu. Do vậy, dù chúng tôi có sẵn kính hiển vi phẫu thuật với độ phóng đại x20, nhưng chúng tôi chọn sử dụng kính lúp x3 trong khi thực hiện phẫu thuật này.
KẾT LUẬN
Vi phẫu tích mô tinh hoàn là phương cách tốt nhất để trích TT cho thụ tinh trong ống nghiệm trong vô tinh không bế tắc. Vi phẫu tích mô tinh hoàn đã mang lại một hy vọng mới cho bệnh nhân vô tinh do tinh hoàn không sinh tinh.
TÀI LIỆU THAM KHẢO
1. Burrows PJ, Schrepferman CG, Lipshultz LI (2002). Comprehensive office evaluation in the new millennium. Urol Clin North Am; 29 (4):873-894.
2. Komori K, Tsujimura A, Miura H, Shin M, Takada T, Honda M, Matsumiya K, Fujioka H (2004). Serial follow-up study of serum testosterone and antisperm antibodies in patients with non-obstructive azoospermia after conventional or microdissection testicular sperm extraction. Int J Androl; 27(1):32-36.
3. Levin HS (1979). Testicular biopsy in the study of male infertility. Hum Pathol; 10:569–584.
4. Lipshultz LI, Thomas AR Jr, Khera M (2007). Surgical Management of Male Infertility. In Campbell-Walsh Urology, 9th ed, Saunders-Elsevier, Philadelphia, 654-717.
5. Mulhall JP, Ghaly SW, Aviv N, Ahmed A (2005). The utility of optical loupe magnification for testis sperm extraction in men with nonobstructive azoospermia. J Androl; 26 (2):178-181
6. Ramasamy R, Lin K, Gosden LV, Rosenwaks Z, Palermo GD, Schlegel PN (2009). High serum FSH levels in men with nonobstructive azoospermia does not affect success of microdissection testicular sperm extraction. Fertil Steril; 92(2):590-593.
7. Ramasamy R, Yagan N, Schlegel PN (2005). Structural and functional changes to the testis after conventional versus microdissection testicular sperm extraction. Urology; 65(6):1190-1194.
8. Schlegel PN (1999). Testicular sperm extraction: microdissection improves sperm yield with minimal tissue excision. Hum Reprod; 14(1):131–135.
9. Seo JT, Ko WJ (2001). Predictive factors of successful testicular sperm recovery in nonobstructive azoospermia patients. Int J Androl; 24(5):306-310.
10. Tsujimura A, Matsumiya K, Miyagawa Y, Tohda A, Miura H, Nishimura K, Koga M, Takeyama M, Fujioka H, Okuyama A (2002). Conventional multiple or microdissection testicular sperm extraction: a comparative study. Hum Reprod; 17 (11):2924–2929.
