BS. Lê Văn Khánh (Bệnh viện Mỹ Đức)
ZIKA là gì?Zika là một chủng virus mà khi nhiễm, bạn có thể có các triệu chứng như sốt, phát ban, đau khớp và viêm kết mạc mắt (mắt đỏ). Virus Zika lây truyền chủ yếu qua muỗi đốt. Tuy nhiên, bạn vẫn có thể bị lây nhiễm Zika khi quan hệ tình dục với người bị nhiễm virus Zika (cho dù người này không có biểu hiện triệu chứng nhiễm bệnh). Ngoài ra, bệnh còn có thể lây truyền từ thai phụ cho thai nhi, truyền máu hoặc cấy ghép tạng.
Nếu bạn bị nhiễm lúc đang mang thai, Zika có thể gây nhiều ảnh hưởng cho con của bạn. Nhưng nếu bạn không mang thai hoặc mới chỉ dự định mang thai thì nhiễm virus Zika hầu như không gây nên hậu quả gì nặng nề.
Triệu chứng khi bị nhiễm Zika?
Khoảng 80% trường hợp nhiễm Zika nhưng không xuất hiện triệu chứng hoặc chỉ xuất hiện một vài triệu chứng nhẹ. Các triệu chứng thường xuất hiện sau khi nhiễm Zika 2 đến 7 ngày.
Các triệu chứng có thể xuất hiện tương tự nhau ở người lớn, trẻ em hay phụ nữ mang thai:
- Sốt: thường sốt nhẹ 37,8oC đến 38,5oC
- Phát ban: hồng ban, ngứa
- Đau khớp: thường là khớp nhỏ ở tay và chân
- Viêm kết mạc mắt (mắt đỏ)
- Đau đầu
Ảnh hưởng cho thai kỳ?
Nhiễm virus Zika có thể gây ra nhiều tác hại nghiêm trọng cho thai kỳ như sẩy thai, thai lưu hay dị tật thai nhi. Khả năng lây truyền Zika từ thai phụ sang thai nhi cao nhất ở tam cá nguyệt đầu, giảm đi trong tam cá nguyệt và chưa có bằng chứng trong tam cá nguyệt cuối. Nếu thai phụ bị nhiễm Zika trong tam cá nguyệt đầu, tỷ lệ thai nhi bị dị tật đầu nhỏ khoảng 1 – 13%, nguy cơ mắc các dị tật khác chưa được làm rõ.
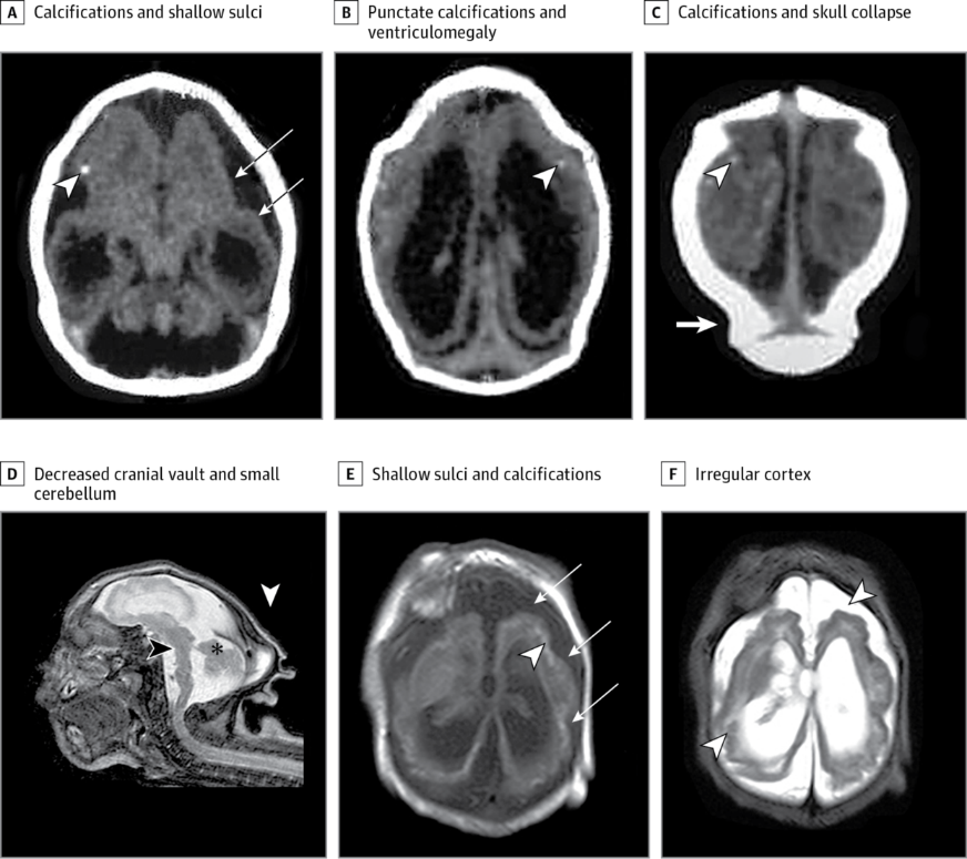
Các dị tật bẩm sinh có thể gặp do thai phụ bị nhiễm Zika được mô tả trong Hội chứng Zika bẩm sinh (CDC - Centers for Disease Control and Prevention công bố):
1. Đầu nhỏ nặng (>3 SD dưới ngưỡng trung bình), tìm thấy những đặc điểm gợi ý về tổn thương não bộ của trẻ bao gồm: hộp sọ bị sụp 1 phần, các đường khớp sọ chồng lên nhau, xương chẩm nhô cao, da đầu dư thừa và suy giảm chức năng thần kinh.

2. Não biến đổi bất thường: vỏ não mỏng với những nếp nhăn bất thường, tăng những khoảng chứa dịch, vôi hóa dưới vỏ não, bất thường thể chai, giảm lượng chất trắng, và giảm sản thùy nhộng tiểu não. Trong các điểm trên, cần lưu ý đặc biệt tổn thương vôi hóa dưới vỏ não là điển hình của hội chứng Zika bẩm sinh, nó khác với tình trạng vôi hóa quanh não thất khi bị tổn thương não bẩm sinh do CMV (Cytomegalovirus).

3. Những bất thường ở mắt: sẹo hoàng điểm, đốm sắc tố võng mạc trung tâm, bất thường khác về cấu trúc (như: đục thủy tinh thể, mắt nhỏ, khuyết mống mắt, dị dạng phía sau), teo đám rối mạch mạc võng mạc, thiểu/hoặc bất sản thần kinh thị.

4. Sự co cứng bẩm sinh: 1 hoặc cả 2 bàn chân bị vẹo, co cứng bẩm sinh một hoặc nhiều khớp (trường hợp nhiều khớp gọi là “Tật đa co cứng khớp bẩm sinh” - arthrogryposis multiplex congenita).

5. Khiếm khuyết thần kinh: dễ ghi nhận tăng trương lực cơ sớm với những triệu chứng ngoại tháp, mất khả năng vận động, mất khả năng nhận thức, giảm trương lực cơ, khóc nhiều quá mức, dễ kích thích, dễ rùng mình, rối loạn vận động nuốt, giảm hoặc mất thị lực, giảm hoặc mất thính lực, và động kinh.
Đường lây truyền của Zika?
Virus Zika được lây nhiễm qua người bắt đầu từ những vết đốt của muỗi mang mầm bệnh. Loài muỗi có vai trò trong lây truyền Zika là muỗi thuộc dòng Aedes, chủ yếu trong đó là muỗi Aedes aegypti. Dòng muỗi Aedes thường đốt người vào ban ngày, đặc biệt là vào buổi sáng sớm hoặc gần tối. Đây cũng là loài muỗi lây truyền các bệnh như sốt xuất huyết, sốt vàng hay chikungunya.
Ngoại trừ đường lây truyền chủ yếu từ muỗi đốt, Zika còn có thể lây nhiễm khi quan hệ tình dục hoặc truyền máu hoặc ghép tạng từ người nhiễm Zika. Tuy nhiên, bằng chứng cho các đường lây nhiễm này vẫn còn đang được làm rõ.
Khi nào nên đi khám và xét nghiệm tầm soát Zika?
Tình trạng nhiễm Zika có thể được gợi ý dựa trên các triệu chứng lâm sàng (sốt, phát ban, đau khớp, viêm kết mạc, đau đầu) và đang sống (hoặc từng đến) vùng dịch tễ đang được ghi nhận có sự lưu hành virus Zika. Chẩn đoán xác định nhiễm Zika chỉ có thể dựa trên xét nghiệm máu tìm dấu hiệu của Zika (chẩn đoán dựa trên các dịch khác của cơ thể như nước tiểu, nước bọt hay tinh dịch đang được nghiên cứu).
Đặc biệt, do tầm ảnh hưởng của Zika lên thai kỳ khá nghiêm trọng nên những thai phụ có triệu chứng lâm sàng của nhiễm Zika và bản thân (hay người có quan hệ tình dục) đang sống (hoặc từng đến) vùng lưu hành Zika nên được thực hiện xét nghiệm chẩn đoán tình trạng nhiễm Zika. Bên cạnh đó, những thai phụ trong quá trình khám thai phát hiện những dấu chứng nghi ngờ hội chứng Zika bẩm sinh cũng nên được xét nghiệm để hỗ trợ chẩn đoán.
Nếu có bằng chứng nhiễm Zika lúc mang thai hoặc có phơi nhiễm với nguồn bệnh, thai phụ nên đi khám thai định kỳ và thực hiện siêu âm mỗi 3 – 4 tuần 1 lần để phát hiện các dấu hiệu bất thường. Chụp cổng hưởng từ (MRI) có một số đặc điểm gợi ý nhiễm Zika tuy nhiên các bằng chứng chưa rõ ràng nên chưa được đưa vào khuyến cáo.
Có thể xét nghiệm ở đâu?
Theo thông tin từ Bộ Y Tế Việt Nam, việc xét nghiệm Zika được triển khai ở 6 cơ sở y tế sau:
- Viện Vệ sinh dịch tễ Trung ương
- Viện Vệ sinh dịch tễ Tây Nguyên
- Viện Pasteur TP.HCM
- Viện Pasteur Nha Trang
- Bệnh viện Bệnh Nhiệt đới Trung ương
- Bệnh viện Bệnh Nhiệt đới TP.HCM
Zika có điều trị được không?
Tình trạng bệnh do nhiễm virus Zika gây ra thường nhẹ và không cần điều trị đặc hiệu, và cũng chưa có liệu pháp điều trị đặc hiệu cho bệnh lý này. Người bệnh Zika nên nghỉ ngơi, uống đủ nước (ít nhất 2 lít/ngày), có thể điều trị giảm đau, hạ sốt bằng các loại thuốc thông dụng (như Acetaminophen), nếu tình trạng bệnh lý nặng hơn nên đi khám để được kiểm tra kỹ hơn. Lưu ý là không dùng thuốc kháng viêm non-steroid (như Aspirin) vì nó có thể gây ra tình trạng chảy máu ở một vài bệnh lý có biểu hiện tương tự như Zika, đặc biệt là sốt xuất huyết Dengue.
Có thể phòng ngừa lây nhiễm Zika?
Có thể! Và biện pháp tốt nhất để phòng ngừa lây nhiễm Zika là tránh tiếp xúc với muỗi mang mầm bệnh khi bạn sống (hoặc đi du lịch đến) vùng có bệnh Zika lưu hành. Một số biện pháp để tránh muỗi dòng Aedes:
- Nên ở trong nhà vào thời điểm muỗi dòng Aedes hoạt động nhiều nhất, thường là vào lúc chạng vạng (sáng sớm hoặc vài giờ trước lúc trời tối hẳn).
- Mang giày, mặc quần dài, áo dài tay, đội nón khi đi ra ngoài (đặc biệt trong thời điểm trên).
- Sử dụng thuốc xịt hoặc thoa ngừa muỗi đốt chứa DEET hoặc “picaridin”. Tuy nhiên cần xem kỹ chỉ định và cách sử dụng trước khi sử dụng. Không được sử dụng DEET cho trẻ dưới 2 tháng tuổi. (Hướng dẫn sử dụng DEET được tóm tắt trong hình bên dưới).
- Trên quần áo và đồ dùng của bạn có thể sử dụng dược phẩm phòng ngừa muỗi chứa “permethrin”.
- Loại bỏ những vùng nước tù, đọng, là nơi cho muỗi đẻ trứng.
- Các loại dược phẩm khác chưa chứng minh được tính hiệu quả cũng như độ an toàn nên chưa được khuyên dùng.

* Hướng dẫn sử dụng chế phẩm chứa DEET trong phòng tránh muỗi đốt do PEHSU cung cấp.
Nếu bạn đã bị nhiễm Zika, việc phòng ngừa muỗi lây nhiễm càng quan trọng hơn vì nếu bạn để muỗi đốt trong tuần đầu nhiễm bệnh thì con muỗi đó có thể mang virus lây truyền qua những người khác.
Zika có thể lây qua đường tình dục do đó cần thận trọng nếu bạn hoặc người có quan hệ tình dục với bạn có “phơi nhiễm” với Zika. “Phơi nhiễm” ở đây được định nghĩa là người đó sống hoặc du lịch tới vùng có dịch bệnh Zika hoặc từng quan hệ tình dục không an toàn với người “phơi nhiễm” Zika. Dưới đây là những hướng dẫn phòng ngừa Zika, đặc biệt quan trọng với những cặp vợ chồng dự định để có thai:
- Người đàn ông nếu có phơi nhiễm Zika phải sử dụng bao cao su khi quan hệ tình dục hoặc không được quan hệ ít nhất 6 tháng từ khi có triệu chứng bệnh Zika hoặc từ lần cuối phơi nhiễm.
- Người phụ nữ nếu có phơi nhiễm Zika phải sử dụng bao cao su khi quan hệ tình dục hoặc không được quan hệ ít nhất 8 tuần từ khi có triệu chứng bệnh Zika hoặc từ lần cuối phơi nhiễm.
- Nếu người vợ đang mang thai, người chồng có phơi nhiễm hoặc mắc Zika thì phải sử dụng bao cao su khi quan hệ hoặc không được quan hệ suốt thai kỳ.
- Nếu sống trong vùng đang bùng phát dịch Zika, nên sử dụng bao cao su khi quan hệ cho đến khi hết đợt dịch.
*** Hiện tại chưa có Vắc-xin phòng ngừa Zika.
Các vùng dịch tễ lưu hành virus Zika: có thể tham khảo qua đường link bên dưới:
http://www.who.int/emergencies/zika-virus/situation-report/List-of-countries-zika.pdf?ua=1
Việt Nam cũng là một trong số những quốc gia ghi nhận những ca bệnh Zika và được cảnh báo có sự lây truyền Zika qua muỗi dòng Aedes.
· Tài liệu tham khảo được lấy từ các nguồn:
- United States Centers for Disease Control and Prevention (CDC): www.cdc.gov
- World Health Organization (WHO): www.who.int
- UpToDate
- Pediatric Environmental Health Specialty Units (PEHSU): www.pehsu.net
- American College of Obstetricians and Gynecologists (ACOG): www.acog.org