Trần Nhật Thăng(1), Hà Tố Nguyên(2),
Nguyễn Thu Trang(2), Trịnh Nhựt Thư Hương(1)
(1) Buồng Chẩn đoán trước sinh, Bệnh viện Từ Dũ
(2) Khoa Chẩn đoán hình ảnh, Bệnh viện Từ Dũ
MỞ ĐẦU
U quái vùng cùng-cụt (Sacrococcygeal teratoma-SCT) là một bất thường bẩm sinh thuộc nhóm u tân sinh thường gặp nhất trên thai với tần suất phát hiện trước sinh vào khoảng 1:20.000-1:40.000, tỉ lệ nữ:nam phân bố chênh lệch 3:1. Nguồn gốc mô phôi của u là nhóm tế bào đa năng (totipotent, ghép từ tiếp đầu tố toti- tương đương tất cả và potent) vùng đuôi đĩa phôi (vùng nút Hensen), vốn có tiềm năng biệt hóa thành cả 3 lớp đĩa phôi, từ đó thành nhiều thành phần mô khác nhau. Một khi phát hiện u trong giai đoạn trước sinh, thai kì đó đòi hỏi một quá trình theo dõi chặt chẽ vì diễn tiến phát triển và sinh lí bệnh khó dự đoán. Nhiều tác giả đã đưa ra những yếu tố tiên lượng nhưng một phác đồ thống nhất cho can thiệp chu sinh đối với những khối SCT chưa được thống nhất. Chúng tôi xin báo cáo một trường hợp SCT được chẩn đoán trước sinh tại Bệnh viện Từ Dũ và can thiệp sớm sau sinh tại Bệnh viện Nhi đồng 2.
TRƯỜNG HỢP LÂM SÀNG
Thai phụ 32 tuổi, Para 1001 được chuyển đến Đơn vị Chẩn đoán tiền sản Bệnh viện Từ Dũ vào 33 tuần thai sau chẩn đoán nghi ngờ thoát vị màng não-cột sống chẻ đôi. Siêu âm hình thái học tại đơn vị chúng tôi ghi nhận một khối u vùng xương cùng, dạng nang, phân bố mạch máu trung bình, kích thước 59x27mm. Với nghi ngờ bản chất u là SCT, thai phụ được tiến hành chụp cộng hưởng từ (MRI). Chuỗi xung sử dụng diffusion, T1w, T2w haste, trufish 3 mặt cắt axial, coronal, sagital FOV 350x350mm, độ dày lát cắt 3-5mm và hình ảnh MRI khẳng định u SCT, không dấu hiệu xâm lấn vùng trực tràng-sinh dục. Các tiêu chuẩn hình ảnh khiến u được xếp loại nhóm A (Benachi). Để đề phòng nguy cơ phải can thiệp lấy thai non tháng, thai phụ được chủ động dùng Betamethasone cho mục đích trưởng thành phổi thai. Thai kì được theo dõi tại đơn vị chẩn đoán trước sinh mỗi 2 tuần, không ghi nhận gia tăng đáng kể kích thước khối u cũng như các thay đổi về nước ối, Doppler velocimetry và chỉ số tim-lồng ngực. Thai kì được kết thúc vào 38 tuần bằng phương pháp mổ lấy thai vì lo sợ khối u vỡ trong quá trình chuyển dạ (ngôi mông). Thai nhi cân nặng lúc sinh 3.500g, điểm Apgar là 8 ở 1 phút và 9 ở 5 phút. Khám trẻ sau sinh ghi nhận khối u vùng xương cùng-cụt, kích thước 60x60mm và không tìm thấy thêm khiếm khuyết bẩm sinh nào khác. Sau xuất viện ngày 5, bé được khám và chụp CT scan tại Bệnh viện Nhi đồng 2; kết quả CT scan chẩn đoán phân biệt với thoát vị màng não tủy vùng xương cùng. Phẫu thuật tiến hành vào ngày thứ 19 sau sinh, không biến chứng xảy ra và giải phẫu bệnh khẳng định bản chất teratoma trưởng thành của u.
BÀN LUẬN
SCT là một bất thường có thể chẩn đoán trước sinh, tuy nhiên tỉ lệ tử vong chu sinh ghi nhận được khá cao vào khoảng 43% [1]. Viện Phẫu nhi Quốc gia Hoa Kì (AAPSS) dựa trên thành phần trong vùng chậu của u để đưa ra phân loại năm 1974 [2].
|
Type I |
U chỉ phát triển ra phía ngoài thai (có thể có một phần nhỏ trước xương cùng) chiếm phần lớn các trường hợp (47%) |
|
Type II |
U ngoài thai có một phần phát triển trong vùng chậu trước xương cùng của thai |
|
Type III |
U ngoài thai với một phần phát triển vào bụng-chậu thai |
|
Type IV |
U phát triển hoàn toàn trong vùng chậu thai |
Đáng tiếc là các yếu tố của u được đánh giá dựa vào hình ảnh tìm thấy ở giai đoạn sau sinh và không thể áp dụng để tiên lượng cho dự hậu của thai kì.
Phân loại SCT về mặt mô học góp phần tiên lượng cho việc tái phát sau mổ cắt u, tuy nhiên, trên phương diện chẩn đoán tiền sản, do việc sinh thiết u trong tử cung là không khả thi và tiềm ẩn nhiều nguy cơ chảy máu trầm trọng gây nguy hiểm cho thai, phân loại này không giúp tiên lượng được dự hậu thai kì.
Về mặt siêu âm, Benachi và cộng sự đã đưa ra phân loại SCT trước sinh mang tính tiên lượng cho tử vong chu sinh [3]:
|
Nhóm A |
Nhóm B |
Nhóm C |
|
U <10cm, phân bố mạch máu trong u +/-, gia tăng kích thước chậm. |
U ≥10cm, phân bố mạch máu trong u đáng kể, diễn tiến suy tim, gia tăng kích thước nhanh. |
U ≥10cm, phân bố mạch máu trong u +/-, phần lớn u dạng nang, gia tăng kích thước chậm. |
Khi siêu âm ghi nhận khối bất thường vùng cùng cụt cũng như bụng-chậu thai, các chẩn đoán phân biệt cần nghĩ đến là thoát vị màng não tủy vùng cùng-cụt (vốn gần như luôn có biểu hiện gián tiếp trên vùng đầu như dãn não thất, bất thường hộp sọ “lemon sign” hay bất thường tiểu não “banana sign”) và u đặc vùng chậu khác của thai (lipoma).
Hai nguy cơ trước sinh ảnh hưởng đến tử suất thai kì chủ yếu là non tháng và thai tích dịch (hydrops) [1]. Tình trạng thai tích dịch là hệ quả của suy tim cung lượng cao và thiếu máu mạn do sự tồn tại các shunt động-tĩnh mạch và xuất huyết trong u. Cũng chính diễn tiến suy tim trước sinh làm tỉ lệ phải chấm dứt thai kì non tháng gia tăng và làm nặng hơn bệnh suất của SCT. Diễn tiến xuất huyết trong u cần nghĩ đến trước bệnh cảnh gia tăng nhanh kích thước khối u, xuất hiện các mực nước không đồng nhất trong u và đặc biệt là vai trò chẩn đoán thiếu máu thai của đo đạc vận tốc đỉnh tâm thu động mạch não giữa: PSV >1,5 MoM [4,5 ]. Diễn tiến suy tim được tầm soát qua đánh giá tình trạng gia tăng chỉ số tim-lồng ngực, phổ Doppler tĩnh mạch rốn và tĩnh mạch chủ dưới dạng xung (“động mạch hóa”), hở van 3 lá, chỉ số cardiovascular profile scores (CVPS) [6,7 ]. Khi thai có diễn tiến thai tích dịch-phù nhau, bác sĩ sản khoa cần lưu ý đến hội chứng Mirror [8-11], khi đó thai phụ có thể hiện tương tự tình trạng tiền sản giật, thậm chí tương tự hội chứng HELLP (phân biệt bằng đếm tiểu cầu, định lượng men gan và haptoglobin), cần can thiệp chấm dứt thai kì sớm hoặc feticide (tùy tiên lượng của thai và đáp ứng lâm sàng của mẹ) [12,13 ].
Trong một cohort 23 thai có SCT, Wilson 2009 hồi cứu thấy rằng kích thước khối u gia tăng >150 cm3/tuần liên quan tỉ lệ tử vong chu sinh tăng cao [1]. Chèn ép nội tạng, đặc biệt là vùng chậu, có thể xảy ra khi u tăng kích thước, do vậy việc đánh giá định kì biểu hiện chèn ép trên siêu âm (bể thận-niệu quản-bàng quang) cần được quan tâm. Chậm tăng trưởng cũng là một diễn tiến lâm sàng có thể gặp và cần được theo dõi.
Việc ứng dụng MRI thai đem đến nhiều đánh giá quan trọng trong chẩn đoán và tiên lượng các bất thường mô mềm trên thai. Đối với SCT ở thai, vì bóng âm tạo ra do xương cùng của thai, vai trò siêu âm trở nên giới hạn, đặc biệt đối với phần u phát triển trong vùng chậu, nhất là trong 3 tháng cuối. MRI khi này có thể cung cấp thêm nhiều thông tin về kích thước cũng như sự chèn ép, xâm lấn các cơ quan lân cận của u: đẩy lệch đại tràng, chèn ép đường niệu dưới, thậm chí trật khớp háng, vốn không thể đánh giá được chính xác bằng siêu âm. Ngoài ra, khi các thành phần trong u có tính phản âm (echogenicity), MRI còn giúp phân biệt được bản chất mô là đặc hay xuất huyết trong u. Các chi tiết này có thể góp phần vào chỉ định cách sinh cho thai, nghiêng về hướng mổ lấy thai chủ động khi u chứa nhiều phần đặc hoặc phức tạp [4,14 ].
Alpha-fetoprotein đã được Barreto và cộng sự theo dõi như một marker trong sự tái phát u sau mổ cắt u ở trẻ sơ sinh [15], vì thế một số tác giả có đề cập vai trò đo lường AFP trong huyết thanh mẹ như một chỉ điểm không chỉ của bất thường khép ống thần kinh mà còn của SCT thai, tuy nhiên điều này chưa được thống nhất trong thực hành lâm sàng và cần được đánh giá thêm. Hồi cứu 26 trường hợp trẻ sơ sinh có SCT được chẩn đoán lành tính về mô học (sau cắt u) từ 1986-2000, Kouranloo nhận thấy u có thể tái phát thành lành tính hoặc ác tính, đặc biệt trong giai đoạn 3 năm đầu tiên, và việc theo dõi sát bằng khám lâm sàng, định lượng AFP và theo dõi hình ảnh học nên được khuyến cáo [16].
Trường hợp được báo cáo là một thai kì được phát hiện trễ, tuy nhiên may mắn vì khối u có nhiều yếu tố thuộc nhóm nguy cơ thấp nên đã có kết cục thai kì tốt. Việc chẩn đoán chính xác bằng các phương tiện hiện đại, theo dõi định kì sát sao với khảo sát siêu âm Doppler giúp phát hiện sớm các biến chứng của thai kì. Điều này còn đảm bảo cho thai phụ yên tâm tiếp tục thai kì, chuẩn bị tâm lí tốt cho việc đón nhận khiếm khuyết bẩm sinh ở thai và trẻ được tiếp nhận tại các trung tâm Sản-Nhi tuyến cuối, tạo điều kiện cho phẫu thuật cắt u-tạo hình sớm, từ đó có ảnh hưởng tích cực đáng kể đến chất lượng cuộc sống của trẻ.
|
|
|
Hình 1. Khối u vùng cùng cụt, cấu trúc chủ yếu dạng nang |
|
|
|
Hình 2. Tưới máu trung bình |
|
|
|
Hình 3. Chỉ số trở kháng mạch máu trong u cao (RI=0,8) |
|
|
|
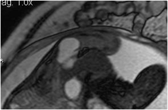
Hình 4. Cắt lớp bằng cộng hưởng từ khẳng định bản chất SCT, không ghi nhận xâm lấn vùng trực tràng-sinh dục |
|
Hình 5. Hình ảnh đại thể khi mổ lấy thai |
|
|
|
Hình 6. Hình ảnh đại thể khi bé một tháng tuổi (đã phẫu thuật cắt u) |
TÀI LIỆU THAM KHẢO
1. Wilson RD, Hedrick H, Flake AW, et al. Sacrococcygeal teratomas: prenatal surveillance, growth and pregnancy outcome. Fetal Diagn Ther. 2009;25(1):15-20.2. Altman RP, Randolph JG, Lilly JR. Sacrococcygeal teratoma: American Academy of Pediatrics Surgical Section Survey-1973. J Pediatr Surg. Jun 1974;9(3):389-398.
3. Benachi A, Durin L, Maurer SV, et al. Prenatally diagnosed sacrococcygeal teratoma: a prognostic classification. J Pediatr Surg. Sep 2006;41(9):1517-1521.4. Danzer E, Hubbard AM, Hedrick HL, et al. Diagnosis and characterization of fetal sacrococcygeal teratoma with prenatal MRI. AJR Am J Roentgenol. Oct 2006;187(4):W350-356.
5. Mari G, Deter RL, Carpenter RL, et al. Noninvasive diagnosis by Doppler ultrasonography of fetal anemia due to maternal red-cell alloimmunization. Collaborative Group for Doppler Assessment of the Blood Velocity in Anemic Fetuses. N Engl J Med. Jan 6 2000;342(1):9-14.6. Byrne FA, Lee H, Kipps AK, Brook MM, Moon-Grady AJ. Echocardiographic risk stratification of fetuses with sacrococcygeal teratoma and twin-reversed arterial perfusion. Fetal Diagn Ther. 2011;30(4):280-288.
7. Neubert S, Trautmann K, Tanner B, Steiner E, Linke F, Bahlmann F. Sonographic prognostic factors in prenatal diagnosis of SCT. Fetal Diagn Ther. Jul-Aug 2004;19(4):319-326.8. Braun T, Brauer M, Fuchs I, et al. Mirror syndrome: a systematic review of fetal associated conditions, maternal presentation and perinatal outcome. Fetal Diagn Ther. 2010;27(4):191-203.
9. Chang YL, Chao AS, Hsu JJ, Chang SD, Soong YK. Selective fetocide reversed mirror syndrome in a dichorionic triplet pregnancy with severe twin-twin transfusion syndrome: a case report. Fetal Diagn Ther. 2007;22(6):428-430.10. Gherman RB, Incerpi MH, Wing DA, Goodwin TM. Ballantyne syndrome: is placental ischemia the etiology? J Matern Fetal Med. Sep-Oct 1998;7(5):227-229.
11. Midgley DY, Harding K. The Mirror syndrome. Eur J Obstet Gynecol Reprod Biol. Feb 2000;88(2):201-202.12. Roybal JL, Moldenhauer JS, Khalek N, et al. Early delivery as an alternative management strategy for selected high-risk fetal sacrococcygeal teratomas. J Pediatr Surg. Jul 2011;46(7):1325-1332.
13. Holcroft CJ, Blakemore KJ, Gurewitsch ED, Driggers RW, Northington FJ, Fischer AC. Large fetal sacrococcygeal teratomas: could early delivery improve outcome? Fetal Diagn Ther. 2008;24(1):55-60.14. Avni FE, Guibaud L, Robert Y, et al. MR imaging of fetal sacrococcygeal teratoma: diagnosis and assessment. AJR Am J Roentgenol. Jan 2002;178(1):179-183.
15. Barreto MW, Silva LV, Barini R, Oliveira-Filho AG, Sbragia L. Alpha-fetoprotein following neonatal resection of sacrococcygeal teratoma. Pediatr Hematol Oncol. Jun 2006;23(4):287-291.16. Kouranloo J, Sadeghian N, Mirshemirani AR. Benign sacrococcygeal teratoma:a fifteen-year retrospective study. Acta Medica Iranica. 2006;44(1):28-32.








